
Πρωτοπορία που εξελίσσεται - Τεχνολογία που ξεχωρίζει

Το Τμήμα PET/CT του Νοσοκομείου ΥΓΕΙΑ ήταν το πρώτο που λειτούργησε στην Ελλάδα, το 2004, θέτοντας από την αρχή τα πρότυπα της Μοριακής Απεικόνισης στη χώρα. Πιστοποιημένο κατά ISO 9001:2008, το Τμήμα εξελίσσεται αδιάκοπα, επενδύοντας διαχρονικά στην ποιότητα, την καινοτομία και την ιατρική αριστεία.
Από τον Δεκέμβριο του 2025, το PET/CT ΥΓΕΙΑ περνά σε νέα εποχή με την εγκατάσταση του Biograph Trinion PET/CT — του πλέον σύγχρονου ψηφιακού PET/CT.
Πρόκειται για το πέμπτο μηχάνημα που τίθεται σε λειτουργία στο Τμήμα από το 2004, επιβεβαιώνοντας τη σταθερή στρατηγική τεχνολογικής αναβάθμισης.
Το Biograph Trinion προσφέρει κορυφαία διαγνωστική ακρίβεια, εξαιρετικά υψηλή ευαισθησία και βέλτιστη απεικονιστική ποιότητα, με ταυτόχρονη μείωση της ακτινοβολίας και του χρόνου εξέτασης — για μέγιστη ασφάλεια και άνεση του εξεταζόμενου.
Το Τμήμα Πυρηνικής Ιατρικής του ΥΓΕΙΑ:
Στο PET/CT ΥΓΕΙΑ, η εμπειρία συναντά την αιχμή της τεχνολογίας.
Η Τομογραφία Εκπομπής Ποζιτρονίων (PET) αποτελεί μια εξειδικευμένη μέθοδο της Πυρηνικής Ιατρικής που χρησιμοποιεί μοριακή απεικόνιση για να εντοπίσει και να παρακολουθήσει φυσιολογικές και παθολογικές λειτουργίες του οργανισμού. Συνδυάζοντας τη λειτουργική απεικόνιση της PET με την ανατομική πληροφορία της αξονικής τομογραφίας (CT), η υβριδική εξέταση PET/CT παρέχει εικόνες υψηλής ευκρίνειας και τη δυνατότητα ποσοτικής αξιολόγησης των βιολογικών μηχανισμών σε κυτταρικό επίπεδο.
Η PET/CT αποτελεί εξαιρετικά προηγμένη τεχνική της σύγχρονης ιατρικής απεικόνισης και χρησιμοποιείται τόσο για τη διάγνωση όσο και για την παρακολούθηση της ανταπόκρισης στη θεραπεία.
Οι κυριότερες εφαρμογές της αφορούν την ογκολογία, τη νευρολογία και, σε μικρότερο βαθμό, την καρδιολογία, ενώ συνεχώς αναπτύσσονται νέες χρήσεις σε άλλες ιατρικές ειδικότητες.
Στην ογκολογία, η PET/CT συμβάλλει με εξαιρετική ακρίβεια:
Ιδιαίτερα σημαντική είναι η χρήση των δεδομένων της PET/CT από το Κέντρο Ακτινοθεραπευτικής Ογκολογίας, για τον ακριβή σχεδιασμό της ακτινοθεραπείας, με στόχο την επίτευξη του καλύτερου θεραπευτικού αποτελέσματος και τη μικρότερη δυνατή ακτινική επιβάρυνση των υγιών ιστών.
Η εξέταση είναι ανώδυνη και ασφαλής, πραγματοποιείται μετά από ενδοφλέβια χορήγηση ραδιοφαρμάκου (συνήθως ¹⁸F-FDG) και καλύπτει συνήθως ολόκληρο το σώμα – από την κορυφή της κεφαλής έως τα πέλματα.
Τα αποτελέσματα αξιολογούνται από εξειδικευμένους ιατρούς Πυρηνικής Ιατρικής και Ακτινολόγους, οι οποίοι παρέχουν και τη σχετική ιατρική συμβουλευτική.
Το τμήμα της Πυρηνικής ιατρικής του νοσοκομείου ΥΓΕΙΑ χρησιμοποιεί όλα τα εμπορικά διαθέσιμα ραδιοφάρμακα και έχει την δυνατότητα in House σύνθεσης ραδιοφαρμάκων με τη χρήση ειδικής γεννήτριας (Ge68/Ga68 Generator).
PET CT Με μέγιστη ακρίβεια ελάχιστη επιβάρυνση Το Τμήμα PET/CT Από τον Δεκέμβριο του 2025, το Τμήμα PET/CT του ΥΓΕΙΑ εξοπλίστηκε με τον υπερσύγχρονο τομογράφο Biograph Trinion PET/CT. Πρόκειται για το πέμπτο μηχάνημα με το οποίο αναβαθμίζεται το τμήμα από την αρχή λειτουργίας του το 2004. Το Trinion είναι το πιο πρόσφατης κατασκευής διαθέσιμο ψηφιακό PET CT παγκοσμίως. Ο τομογράφος διαθέτει ανιχνευτές LSO, CT 64 τομών και το πολυδύναμο λογισμικό SYNGO. Η τεχνολογία αυτή προσφέρει εξαιρετική απεικόνιση των βιολογικών διεργασιών σε μοριακό επίπεδο, αναδεικνύοντας τόσο τους υγιείς όσο και τους παθολογικούς ιστούς. Biograph Trinion AI-Powered PET/CT: Η νέα γενιά ακρίβειας. Το PET/CT που βλέπει βαθύτερα, καθαρότερα, ταχύτερα. Χαμηλότερη δόση – Ίδια ή καλύτερη ποιότητα
Ταχεία εξέταση με υψηλή ποιότητα
Μεγάλο πεδίο απεικόνισης (FOV) για συντομότερους χρόνους εξέτασης – χωρίς εκπτώσεις στην ποιότητα.
Έτοιμο για το μέλλον της Theranostics
Υψηλή ευαισθησία & ανάλυση
Κρύσταλλοι με βάση Lutetium για ακριβή απεικόνιση
Πραγματικό ultra fast Time-of-flight για βελτιστοποίηση του SNR και επίτευξη γρηγορότερων σαρώσεων, με λιγότερη εγχυμένη δόση και καλύτερη ποιότητα εικόνας. Με την πραγματική τεχνολογία ultra fast Time–of–flight (239ps) υπολογίζουμε με μεγαλύτερη ακρίβεια το σημείο στο οποίο πραγματοποιήθηκε η εξαύλωση, και να βελτιώνουμε τον λόγο σήματος/θόρυβο(SNR). Αυτό έχει ως αποτέλεσμα να απορρίπτονται οι ψευδείς κρούσεις, επιτυγχάνοντας μεγαλύτερη ευαισθησία, καλύτερη ποιότητα εικόνας και μικρότερο χρόνο εξέτασης. FlowMotion™ Al – Εξατομίκευση των σαρώσεων μέσω ειδικού αλγορίθμου τεχνητής νοημοσύνης.
Oncofreeze AI – Διόρθωση των παρασίτων από την αναπνευστική κίνηση κατά τη διάρκεια της εξέτασης μέσω τεχνητής νοημοσύνης.
Σε μία φράση: Το Biograph Trinion δεν είναι απλώς η νεότερη πλατφόρμα digital PET/CT. Αποτελεί την μετάβαση από την καταγραφή, στην πραγματική κατανόηση της νόσου και κατ’ έκταση στην ακριβέστερη θεραπεία της.
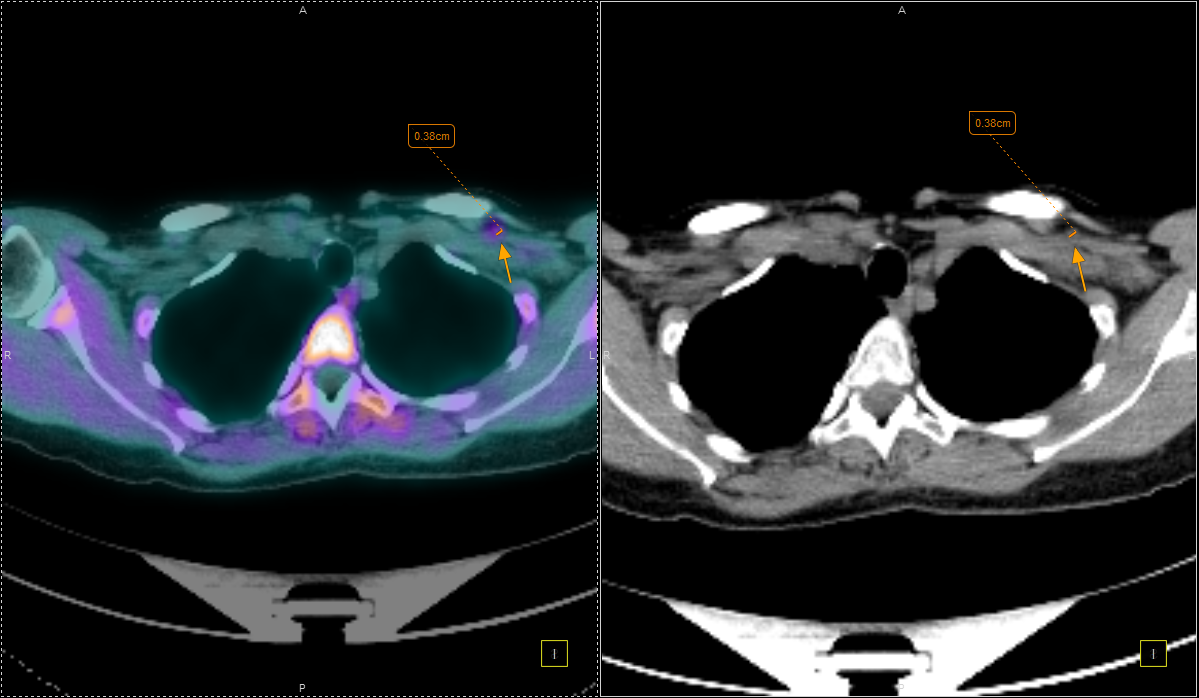
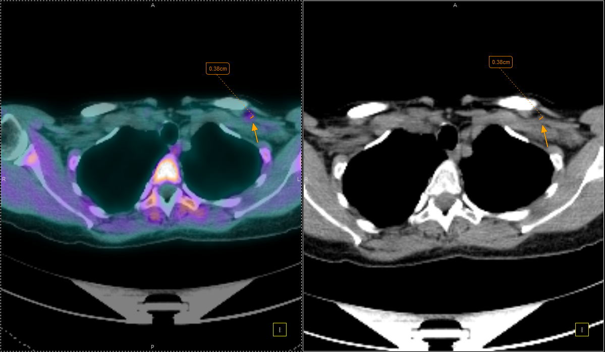
Λογισμικό A.I. Segmentation των εστιών ενεργού νόσου.
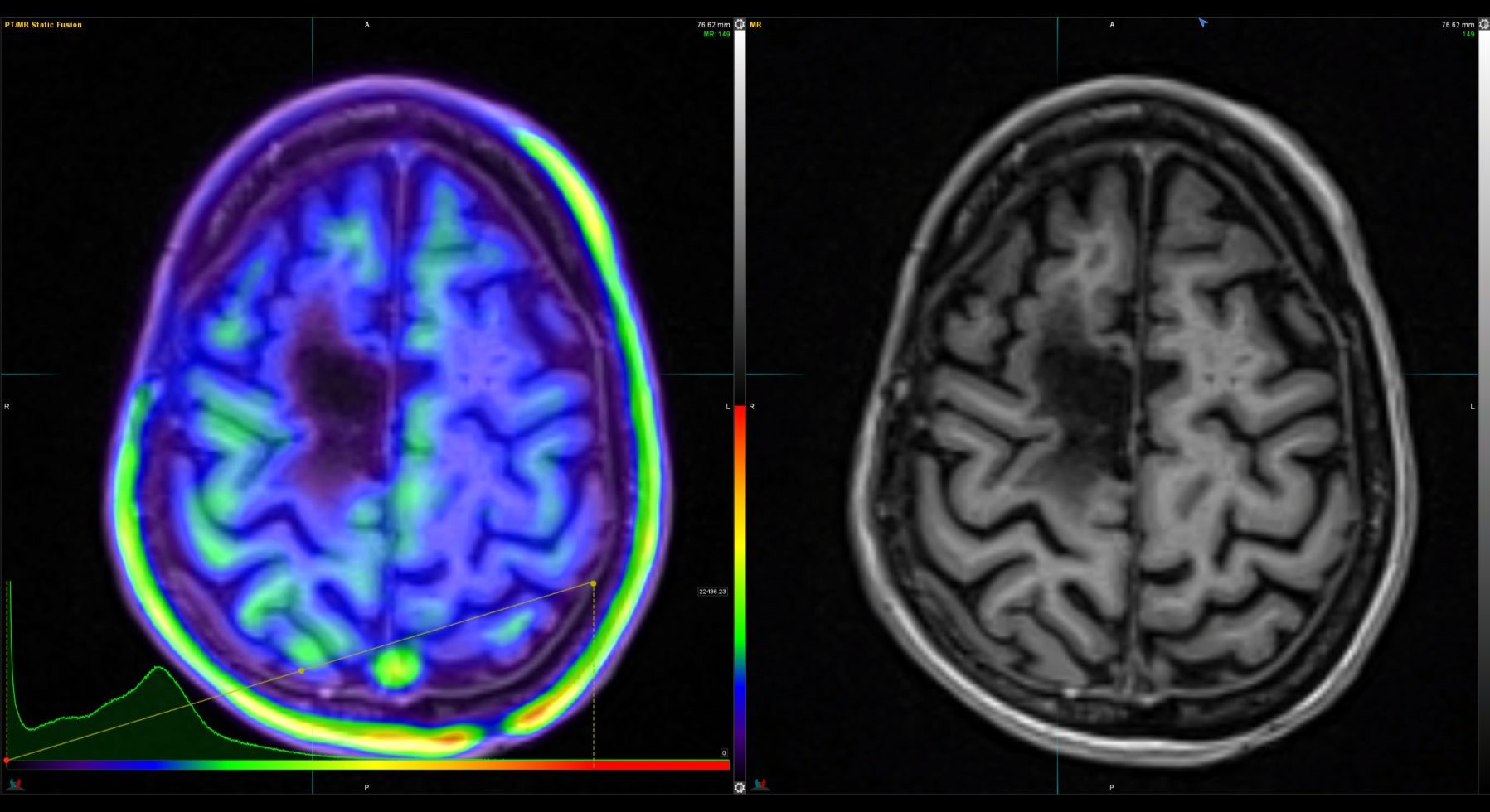
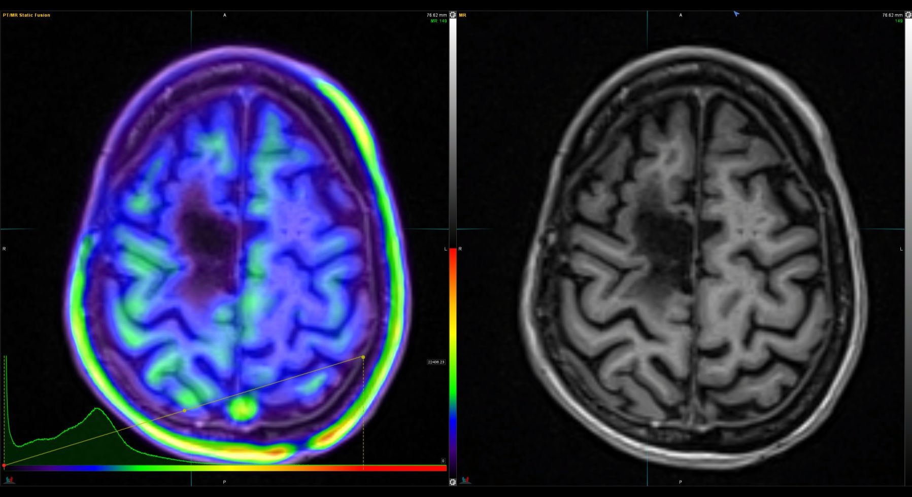
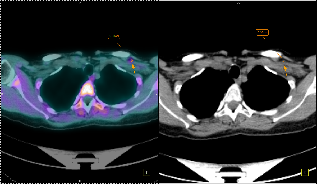
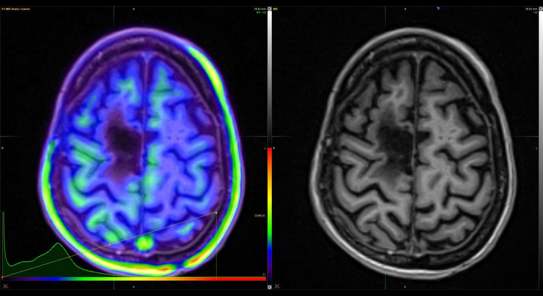
Με τη χρήση ειδικού λογισμικού Τεχνητής Νοημοσύνης (MIM – Lesion ID) πραγματοποιείται αυτόματος υπολογισμός της έκτασης και του όγκου των θέσεων ενεργού νόσου. Ξεπερνώντας τις δυνατότητες του ανθρώπινου οφθαλμού υπολογίζεται το συνολικό φορτίο νόσου πριν και μετά την θεραπεία επιτρέποντας ακριβέστερο χειρισμό του ασθενούς από τον θεράποντα ιατρό.
Εξειδικευμένες Υπηρεσίες PET/CT
Στο Κέντρο PET/CT πραγματοποιούνται εξειδικευμένες εξετάσεις που καλύπτουν ένα ευρύ φάσμα κλινικών εφαρμογών στη σύγχρονη Πυρηνική Ιατρική. Ανάλογα με το είδος του προβλήματος και τη φύση της νόσου, χρησιμοποιούνται διαφορετικά ραδιοφάρμακα για τη μελέτη συγκεκριμένων βιολογικών μηχανισμών.




![]() | ![]() |
![]() | ![]() |
«Όλες οι απεικονιστικές μελέτες του Τμήματος συμβάλλουν αποφασιστικά στη λήψη κλινικών αποφάσεων και είναι πλήρως συμβατές με τη σύγχρονη, τεκμηριωμένη προσέγγιση των Theranostics.»
Ακριβής θεραπεία, μετρήσιμα αποτελέσματα.
Συνδυάζουμε στοχευμένα ραδιοφάρμακα που απεικονίζουν και θεραπεύουν τον ίδιο μοριακό στόχο. Στο ΥΓΕΙΑ το πρόγραμμα αφορά:
Ο στόχος είναι σαφής: να δώσουμε τη σωστή δόση, στο σωστό σημείο, τη σωστή στιγμή.
Η αξία της μεταθεραπευτικής δοσιμετρίας
Με τη SPECT‑CT ποσοτικοποίηση υπολογίζουμε απορροφούμενες δόσεις σε όγκους και όργανα‑στόχους (νεφροί, σιελογόνοι, ήπαρ, μυελός κ.ά.). Αυτό:
Σημείωση: Σύμφωνα με πρόσφατες κλινικές εργασίες/σειρές ασθενών – όπως οι LUMEN‑2 (για ΝΕΤ) και νεότερες μελέτες σε PSMA‑στόχο – η ποσοτική δοσιμετρία συσχετίζεται με την έκβαση και βελτιώνει τον θεραπευτικό σχεδιασμό.
Με βάση τα σύγχρονα Guidelines όλων των διεθνών ογκολογικών εταιρειών η μεταθεραπευτική απεικόνιση είναι προαπαιτούμενο για την έναρξη-συνέχιση της θεραπείας και το βέλτιστο αποτέλεσμα αυτής.
ΠΟΣΟΤΙΚΗ ΕΚΤΙΜΗΣΗ – ΜΕΤΡΗΣΗ ΟΓΚΟΥ ΝΟΣΟΥ
PSMA‑θετικός καρκίνος προστάτη
Νευροενδοκρινικοί όγκοι (SSTR)
Η πορεία του ασθενούς, βήμα‑βήμα
Ασφάλεια & άνεση
Στο Υγεια είναι η δυνατή η μεταθεραπευτική απεικόνιση και η συμβουλευτική γνωμάτευση- δοσιμετρία και σε ασθενείς οι οποίοι πραγματοποιούν τις θεραπευτικές τους συνεδρίες σε άλλα νοσοκομεία.
Εάν επιθυμείτε να έρθετε σε επαφή με τους ιατρούς του ΥΓΕΙΑ για συμβουλευτική γνωμάτευση παρακαλώ επικοινωνήστε στα εξής τηλ : 210 686 7471, 6977910302
Ανδρέου Ιωάννης
Πιπίκος Θεόδωρος
Ευθυμιάδου Ρωξάνη
Βογιατζής Μερκούριος
Δόικα Ευσταθία
Ηλία Ελιβέρτα
Γώγος Κωνσταντίνος
Νταλιάνης Κωνσταντίνος
Κομματά Σπυριδούλα
Λάσπας Φώτιος
Φιλιππή Βασιλική
Χαροκοπάκης Άγγελος
Χόπκινς - Χατζοπούλου Άναμπελ | Cookie | Duration | Description |
|---|---|---|
| viewed_cookie_policy | 11 months | Aπαραίτητα για την ορθή λειτουργία ενός ιστότοπου και για την περιήγηση σε αυτόν από τον χρήστη. Χωρίς αυτά, οι χρήστες ενδέχεται να μην είναι σε θέση να προβάλλουν σωστά τις σελίδες ή να χρησιμοποιήσουν ορισμένες υπηρεσίες. |























