Σαν χρόνιες ολικές αποφράξεις ορίζονται οι αποφράξεις (στένωση της αρτηρίας 100%) που υπολογίζεται ότι έχουν συμβεί πάνω από 3 μήνες. Οι αγγειοπλαστικές σε αυτές τις αρτηρίες αποτελούν τις πιο δύσκολες επεμβάσεις στην επεμβατική καρδιολογία, μια και λόγω της ολικής απόφραξης η περιφέρεια του αγγείου δεν είναι ορατή, ενώ η απόφραξη χαρακτηρίζεται από μεγάλη σκληρότητα.
Για τους λόγους αυτούς, οι επεμβάσεις αυτές έχουν τελείως διαφορετική φιλοσοφία, καθώς και χαμηλότερα ποσοστά επιτυχίας από τις συνηθισμένες αγγειοπλαστικές και γι’ αυτό το λόγο δεν πραγματοποιούνται από όλους τους επεμβατικούς καρδιολόγους.
Τις περισσότερες φορές χρειάζεται προσπέλαση από δύο αρτηρίες με σκοπό να σκιαγραφείται η παράπλευρη κυκλοφορία και να υπάρχουν όλες οι επιλογές ανοικτές κατά τη διάρκεια της επέμβασης. Επίσης, χρησιμοποιούνται ειδικά σύρματα και συσκευές προκειμένου να περάσουν από την πολύ σκληρή βλάβη.
Στην Κλινική μας χρησιμοποιούνται όλες οι τεχνικές για τη διάνοιξη αυτών των βλαβών, όπως η ορθόδρομη κλιμάκωση των συρμάτων (antegrade wire escalation), τεχνική διαχωρισμού και επανεισόδου (dissection-reentry technique) και ανάδρομη τεχνική (retrograde approach).
Στη Ζ’ Καρδιολογική Κλινική υπάρχει μεγάλη εμπειρία σε αυτές τις επεμβάσεις μια και ο Διευθυντής κ. Μιχάλης Κουτούζης είναι εκπαιδευτής (proctor) για τη συγκεκριμένη μέθοδο, τόσο στην Ελλάδα, όσο και στο εξωτερικό.
Επίσης, είμαστε οι πρώτοι που απέδειξαν ότι μερικοί από αυτούς τους ασθενείς μπορούν να πάρουν αυθημερόν εξιτήριο και δεν είναι απαραίτητο να διανυκτερεύσουν στο Νοσοκομείο (https://www.ncbi.nlm.nih.gov/pubmed/28214141).
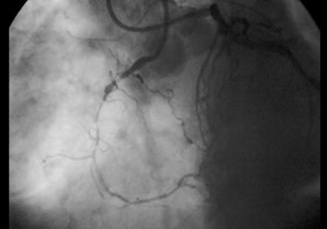
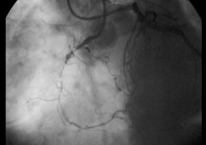
Χρόνια ολική απόφραξη της δεξιάς στεφανιαίας αρτηρίας με παράπλευρη σκιαγράφηση από το σύστημα της αριστερής στεφανιαίας αρτηρίας (διπλή έγχυση)
| Cookie | Duration | Description |
|---|---|---|
| viewed_cookie_policy | 11 months | Aπαραίτητα για την ορθή λειτουργία ενός ιστότοπου και για την περιήγηση σε αυτόν από τον χρήστη. Χωρίς αυτά, οι χρήστες ενδέχεται να μην είναι σε θέση να προβάλλουν σωστά τις σελίδες ή να χρησιμοποιήσουν ορισμένες υπηρεσίες. |























