Ασβεστοποιός Τενοντίτιδα Ώμου
Γράφει ο
Ιωάννης Τριανταφυλλόπουλος
Ορθοπαιδικός
Διευθυντής Ε’ Ορθοπαιδικής Κλινικής ΥΓΕΙΑ
Τι είναι η ασβεστοποιός τενοντίτιδα του ώμου;
Η ασβεστοποιός τενοντίτιδα του ώμου, γνωστή και ως «περιαρθρίτιδα» είναι το αποτέλεσμα της εναπόθεσης κρυστάλλων ασβεστίου εντός των τενόντων που κινούν την άρθρωση αυτή.
Αποτελεί μια συχνή πάθηση των ώμων που παρουσιάζει έξαρση τις περιόδους που οι ασθενείς καταπονούν τα χέρια τους π.χ. με εποχικές προετοιμασίες του σπιτιού, με μετακομίσεις, με έντονες οικοδομικές και κηπουρικές εργασίες αλλά και αθλητικές δραστηριότητες με επαναλαμβανόμενες κινήσεις των χεριών ύπερθεν των ώμων.
Πώς προκαλείται η ασβεστοποίηση στον ώμο;
Δεν είναι απόλυτα διευκρινισμένο τι ακριβώς πυροδοτεί την έναρξη της ασβεστοποίησης, εκτιμάται ωστόσο ότι στην κατάσταση αυτή μπορεί να οδηγήσουν επαναλαμβανόμενοι τραυματισμοί ή εκφύλιση του μυοτενοντίου πετάλου. Η εναπόθεση αλάτων ασβεστίου δεν οφείλεται σίγουρα σε διατροφικούς παράγοντες. Η επώδυνη αυτή κατάσταση όμως είναι πιο συχνή σε ασθενείς που πάσχουν από Σακχαρώδη Διαβήτη ή έχουν θυρεοειδοπάθεια.
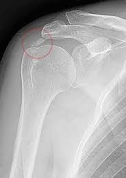
Εικόνα με ακτινογραφία ώμου στην οποία εμφανίζεται η ασβεστοποίηση.
Πως γίνεται η διάγνωση της ασβεστοποίησης του ώμου;
Η διάγνωση, γίνεται κλινικά και επιβεβαιώνεται με ακτινολογικό έλεγχο, ενώ σημαντικές πληροφορίες προσφέρουν τόσο το υπερηχογράφημα, όσο
και η μαγνητική τομογραφία (MRI) για ανακάλυψη συνοδών βλαβών του ώμου όπως εκφυλίσεις και ρήξεις τενόντων.
Τι να περιμένει ο ασθενής με ασβεστοποίηση του ώμου;
Στην ασβεστοποιό τενοντίτιδα επιδεινώνεται η φλεγμονή και υπάρχει οξύς πόνος ειδικά κατά την κίνηση του χεριού αλλά και κατά την ανάπαυση σε πιο προχωρημένα στάδια.
Η κρίση αυτή συνήθως διαρκεί μερικές μέρες και συχνά υποχωρεί με συντηρητική αγωγή. Μερικές φορές όμως, μπορεί να μεταπέσει σε χρονιότητα, με διάχυτο πόνο που περιορίζει τις κινήσεις, ή μπορεί να παρουσιάσει μια πορεία με εξάρσεις και υφέσεις. Ο ασθενής παραπονιέται συχνά για έντονο νυκτερινό άλγος.
Πως αντιμετωπίζεται η ασβεστοποιός τενοντίτιδα του ώμου;
Σε πρώτη φάση συστήνεται ανάπαυση, κρυοθεραπεία και φαρμακευτική αγωγή με αντιφλεγμονώδη φάρμακα και φυσικοθεραπεία. Σε περιπτώσεις που ο ασθενής παρουσιάζει έντονη συμπτωματολογία, ο ορθοπεδικός θα προτείνει ενδοαρθρική έγχυση κορτιζόνης. Πρόκειται για μια εύκολη πράξη που πραγματοποιείται στο ιατρείο, μπορεί να επαναληφθεί ακόμα μια έως δυο φορές σε διάστημα μιας εβδομάδας και συνήθως ο ασθενής ανακουφίζεται σημαντικά. Αν μάλιστα η ασβεστοποίηση είναι πρόσφατη, ο ορθοπεδικός με βελόνα μπορεί να αναρροφήσει μέρος ή όλη την ασβεστοποίηση και να ανακουφίσει άμεσα τον ασθενή.
Αν αυτό αποτύχει, γίνεται χειρουργική αφαίρεση του ασβεστίου που έχει αποτεθεί μέσα στον τένοντα.
Η επέμβαση γίνεται αρθροσκοπικά, καθώς έτσι υπάρχει η δυνατότητα να επιβεβαιωθεί η διάγνωση και να αφαιρεθεί με ακρίβεια όσο το δυνατό περισσότερο από το ασβέστιο με τη μικρότερη δυνατή βλάβη στον ίδιο τον τένοντα, ο οποίος ακολούθως αποκαθίσταται με συρραφή του.
Η αρθροσκοπική αφαίρεση του ασβεστίου σε περιπτώσεις ασβεστοποιού τενοντίτιδας, είναι επέμβαση ελάχιστης παρεμβατικότητας, με χαμηλή νοσηρότητα, ιδιαίτερα υψηλά ποσοστά επιτυχίας και επιτρέπει την αυθημερόν έξοδο του ασθενούς από την κλινική, ενώ έχει συνήθως ταχεία μετεγχειρητική αποκατάσταση.






































