

Το ΥΓΕΙΑ είναι το πρώτο νοσοκομείο στην Ελλάδα που εφάρμοσε την επαναστατική τεχνολογία SPECT/CT, με εμπειρία άνω των 15 ετών στην κλινική της εφαρμογή.
Στις εξετάσεις της πυρηνικής ιατρικής ραδιοϊσότοπα χορηγούνται ενδοφλέβια ή από το στόμα, προκειμένου να ληφθούν πληροφορίες για τη λειτουργία και τον μεταβολισμό των οργάνων του ανθρώπινου σώματος ή να χρησιμοποιηθούν για τη θεραπεία ορισμένων παθήσεων.
Τα ραδιοϊσότοπα που χρησιμοποιούνται στην Πυρηνική Ιατρική, κατά τη διάσπασή τους, εκπέμπουν ακτινοβολία γ, ακτινοβολία β, ή και συνδυασμό των δύο.
Οι περισσότερες διαγνωστικές εξετάσεις της Πυρηνικής Ιατρικής είναι γνωστές ως σπινθηρογραφήματα, τα οποία στη σύγχρονη εποχή πραγματοποιούνται με τη βοήθεια της γ-κάμερας (γ-camera) ή συστημάτων SPECT/CT, που επιτρέπουν απεικόνιση υψηλής ακρίβειας και λειτουργική ανάλυση σε μοριακό επίπεδο.
Στο Νοσοκομείο ΥΓΕΙΑ εκτελείται ολόκληρη η γκάμα των διαγνωστικών εξετάσεων και θεραπευτικών εφαρμογών της Πυρηνικής Ιατρικής, με εξαίρεση τις θεραπείες για καρκίνο του θυρεοειδούς με ραδιενεργό ιώδιο-131.
Πρόκειται για το πρώτο νοσοκομείο στην Ελλάδα που εφάρμοσε την επαναστατική SPECT/CT τεχνολογία με εμπειρία σε αυτή πάνω από 15 έτη.
Tο Νοσοκομείο ΥΓΕΙΑ είναι το μοναδικό με πάνω από 15 χρόνια εμπειρία στην SPECT CT Aπεικόνιση. Από το 2024 διαθέτει δύο υπερσύγχρονες τομογραφικές γ-κάμερες της Siemens – Symbia Pro.specta SPECT/CT with myExam Companion. Πρόκειται για συστήματα τελευταίας γενιάς που συνδυάζουν υψηλή απεικονιστική ακρίβεια, χαμηλή δόση ακτινοβολίας και πλήρη αυτοματοποίηση της διαδικασίας. Με την χρήση ειδικού σύγχρονου λογισμικού (SIEMENS SYNGO) εξασφαλίζεται η μέγιστη ποιότητα εικόνας. Ειδικότερα οι γ-κάμερες χαρακτηρίζονται από τα εξής:
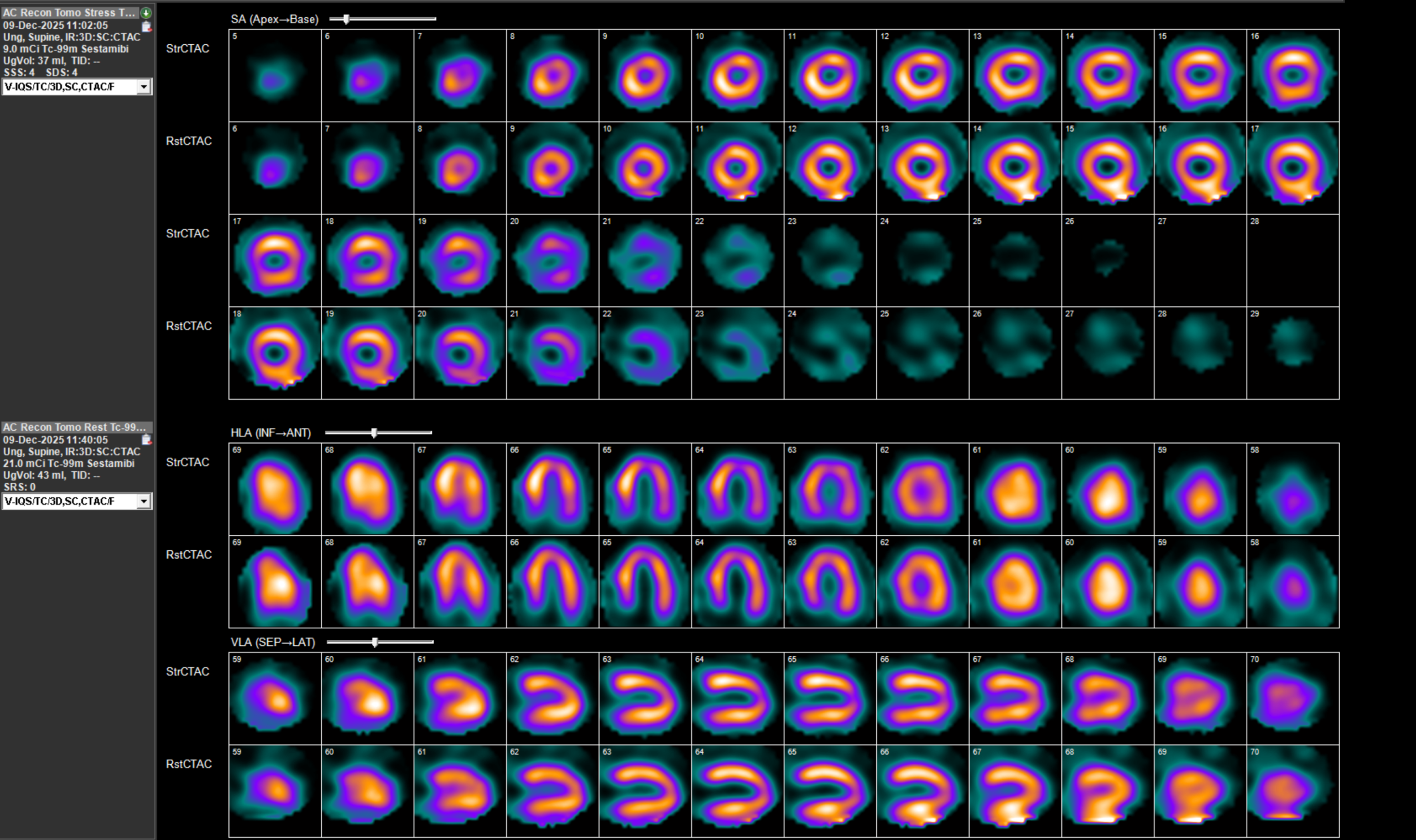
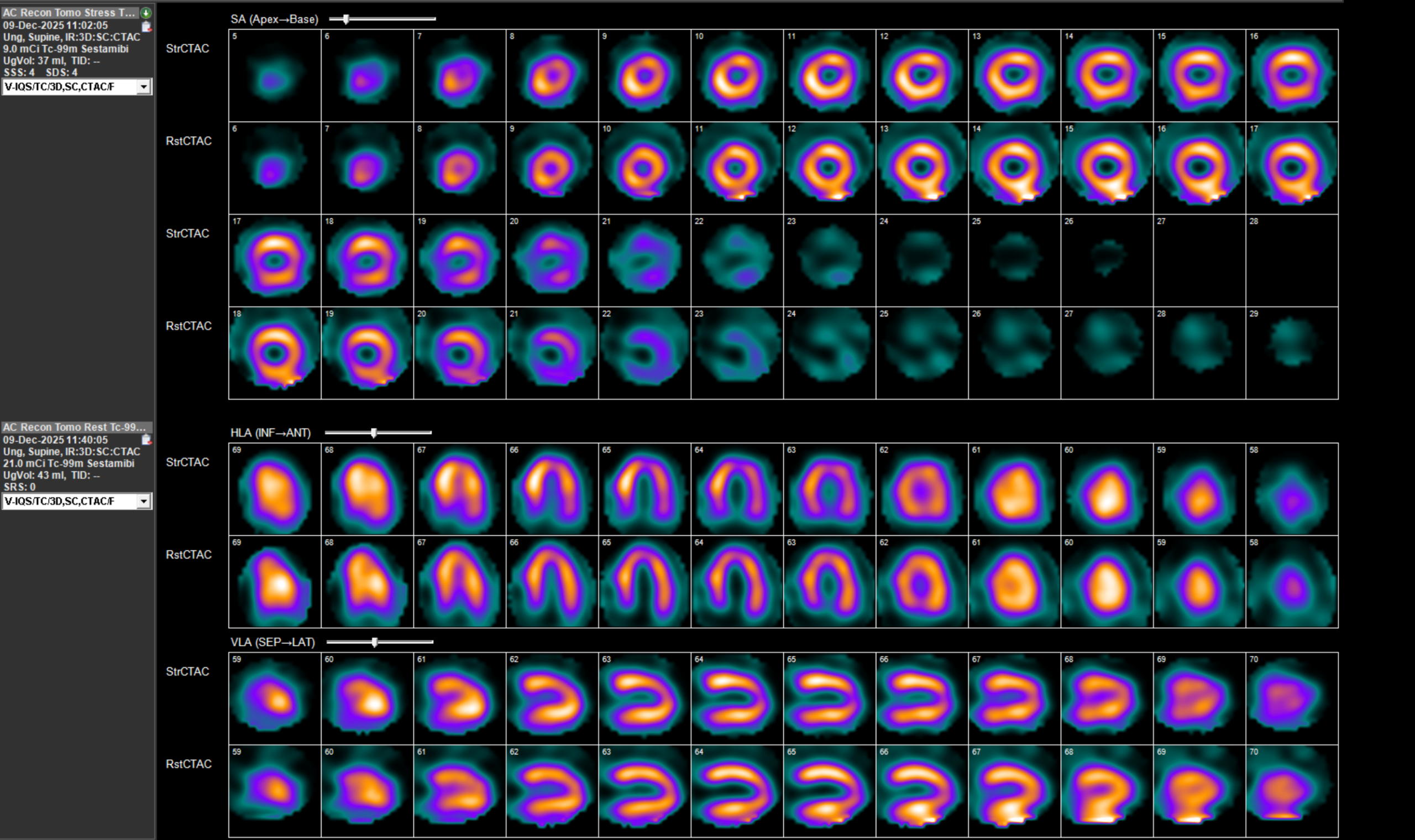
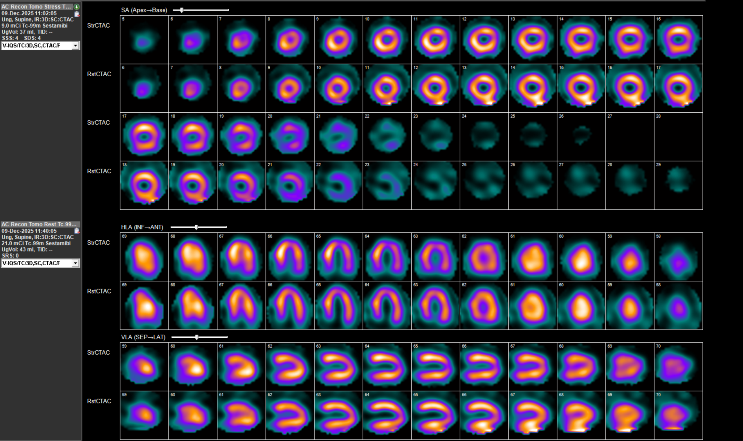
IQ SPECT Η τέχνη της ελαχιστοποίησης της δόσης με ταυτόχρονη μεγιστοποίηση της ταχύτητας Στη σύγχρονη Πυρηνική Ιατρική, όπου η ανάγκη για ταχύτερες και ασφαλέστερες μελέτες Μυοκαρδιακής Αιμάτωσης (MPI) αυξάνεται διαρκώς, το IQ SPECT αποτελεί μία από τις πλέον ώριμες και καινοτόμες τεχνολογίες. Η αρχή του είναι απλή και καθαρή: να συλλέγει όσο το δυνατόν περισσότερα δεδομένα από την καρδιά, με την ελάχιστη δυνατή δόση και στον ελάχιστο χρόνο, χωρίς συμβιβασμούς στην ποιότητα εικόνας. Minimum dose & maximum speed Στις συμβατικές SPECT καρδιάς, μεγάλο τμήμα του ανιχνευτή δεν αξιοποιείται λόγω του μικρού μεγέθους του εξεταζόμενου οργάνου. Αυτό οδηγεί σε παρατεταμένο acquisition – πολλές φορές έως 16 λεπτά – ώστε να εξασφαλιστεί η αναγκαία ποιότητα εικόνας. Το IQ SPECT υπερβαίνει αυτόν τον περιορισμό. Με βελτιστοποιημένο χειρισμό της γεωμετρίας, των collimators και του acquisition, μεγιστοποιεί τα ανιχνευόμενα δεδομένα από την καρδιά, επιτρέποντας ολοκληρωμένη μελέτη σε λιγότερο από 5 λεπτά, μείωση της χορηγούμενης δόσης έως και 75%, και διατήρηση ή και βελτίωση της ποιότητας εικόνας.
Όλες οι μελέτες Πυρηνικής Ιατρικής πραγματοποιούνται με SPECT/CT μέθοδο στις 2 υπερσύγχρονες SIEMENS Pro SPecta. Από το δυσδιάστατο στο τρισδιάστατο, από την υπόνοια στη βεβαιότητα.
Οι μελέτες μυοκαρδίου πραγματοποιούνται με τη χρήση της μοναδικής τεχνολογίας IQ SPECT που εξασφαλίζει μικρό χρόνο απεικόνισης – μικρή δόση – υψηλή διακριτική ικανότητα/ανάλυση.
![]() | ![]() | ![]() |
![]() |
![]() |
![]() |
![]() | ![]() |
![]() | ![]() |
![]() | ![]() |
![]() | ![]() | ![]() |

ΟΛΕΣ ΟΙ ΜΕΛΕΤΕΣ ΜΕ ΤΗ ΔΙΑΓΝΩΣΤΙΚΗ ΥΠΕΡΟΧΗ ΠΟΥ ΠΡΟΣΦΕΡΕΙ Η SPECT/CT ΑΠΕΙΚΟΝΙΣΗ
Η Πυρηνική Ιατρική παρέχει στοχευμένες θεραπείες με ραδιοϊσότοπα, οι οποίες επιτρέπουν την επιλεκτική ακτινοβόληση παθολογικού ιστού με ελάχιστη επιβάρυνση των υγιών οργάνων. Οι θεραπείες αυτές εφαρμόζονται με ασφάλεια, υπό ιατρική παρακολούθηση, και αποτελούν πλέον βασικό εργαλείο της προσωποποιημένης – μοριακής ιατρικής (Theranostics).
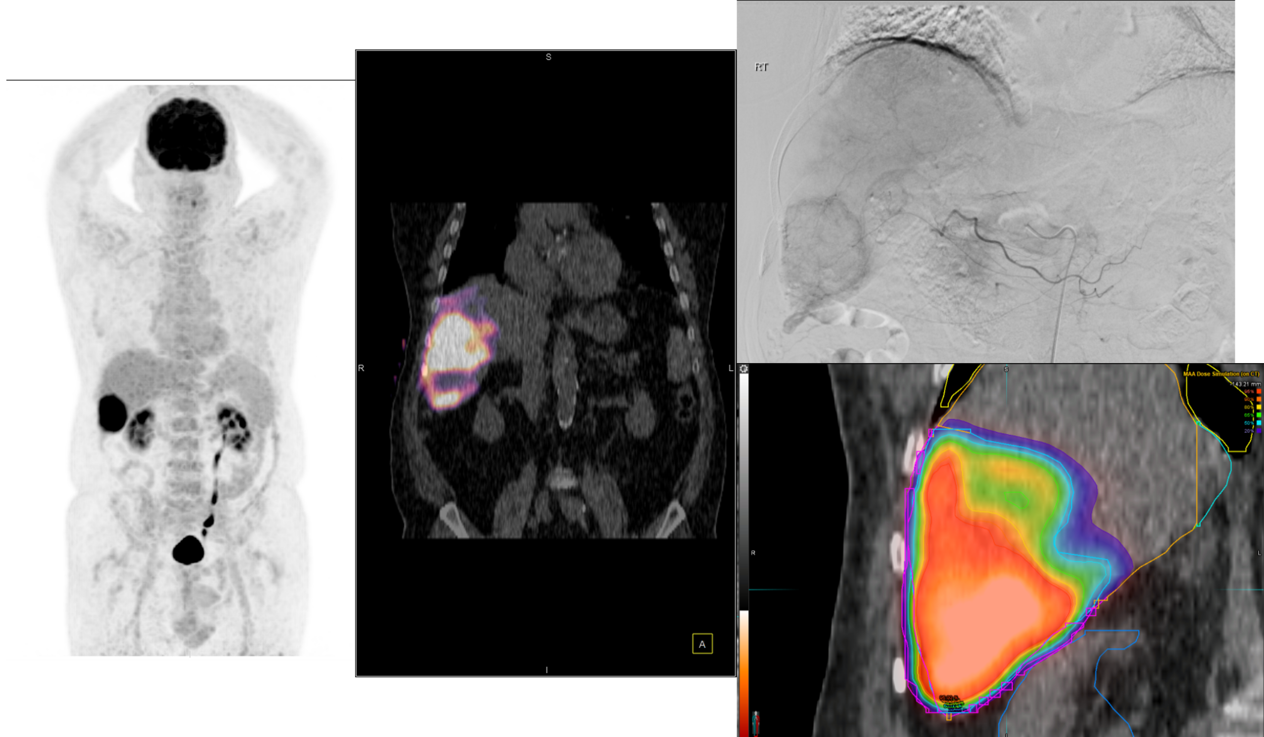
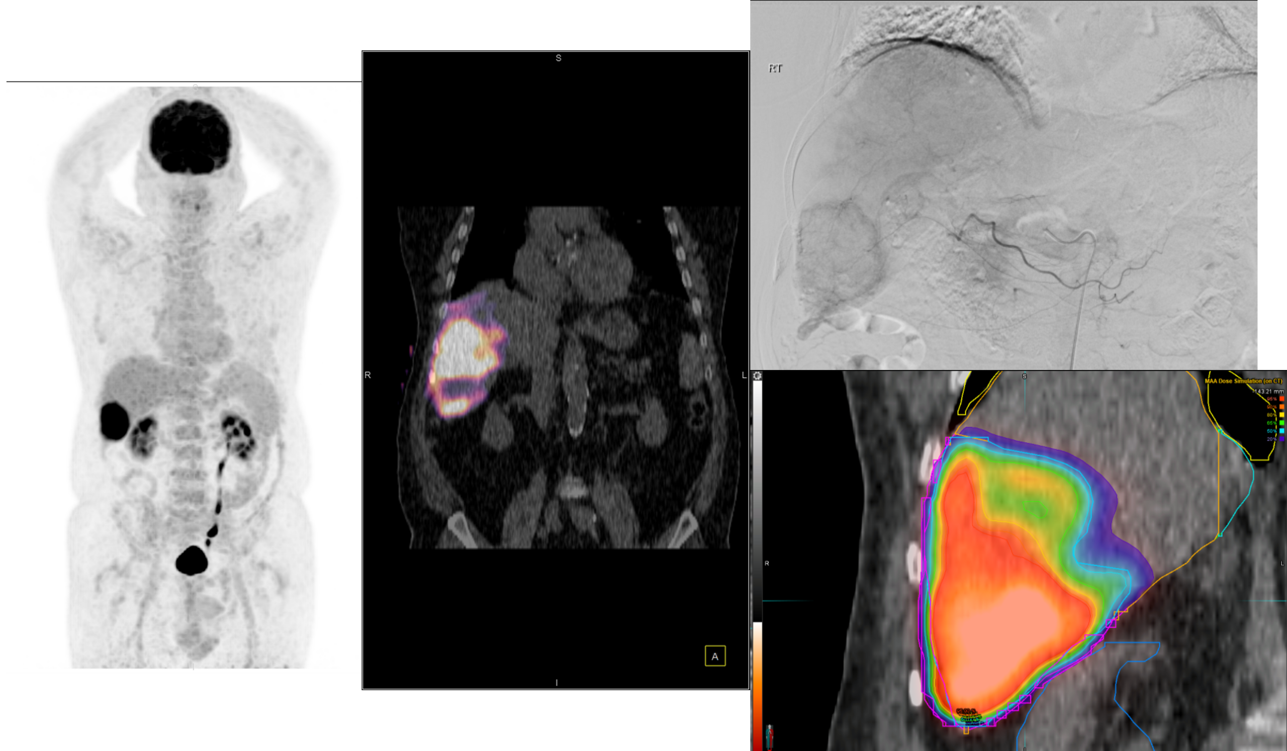
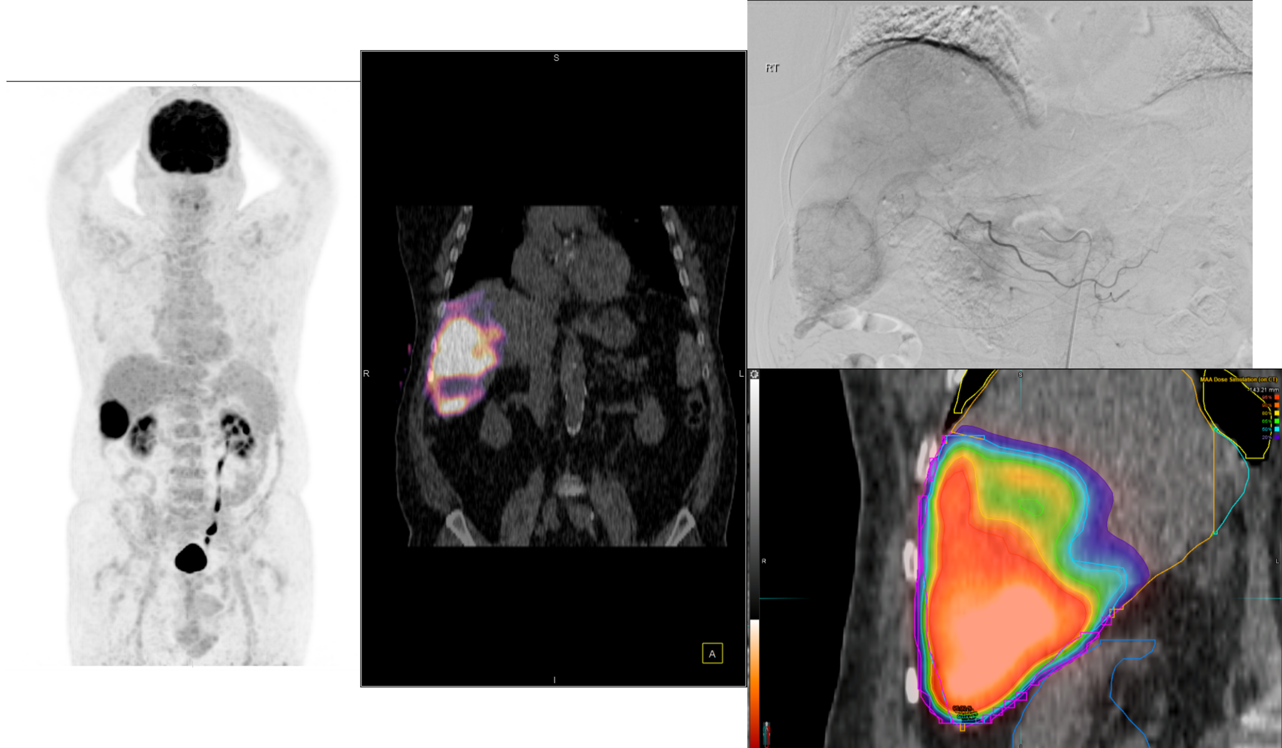
Η θεραπεία με Ύτριο-90 SIR-Spheres (Y-90) αποτελεί μια εξειδικευμένη τεχνική εκλεκτικού ενδοαρτηριακού εμβολισμού, η οποία στοχεύει αποκλειστικά τον όγκο μέσω των ηπατικών αγγείων, επιτρέποντας την εναπόθεση σωματιδίων που εκπέμπουν ραδιενέργεια τοπικά με ελάχιστη ακτινική επιβάρυνση στους υγιείς ιστούς. Η διαδικασία περιλαμβάνει λεπτομερή προθεραπευτικό αγγειογραφικό σχεδιασμό με αξιολόγηση της αγγειακής ανατομίας και χορήγηση ενός ιχνηθέτη για την ανίχνευση τυχόν διαφυγής (πχ. lung shunt), εξασφαλίζοντας μέγιστη ασφάλεια και εξατομίκευση. Η επιλογή της δόσης γίνεται πλέον με σύγχρονα υπολογιστικά μοντέλα δοσιμετρίας και εξειδικευμένα λογισμικά (όπως MIM ή SIR-TeX platform), τα οποία επιτρέπουν ακριβή αποτύπωση του όγκου της νόσου στο ήπαρ, υπολογισμό του πραγματικού tumor burden και εκτίμηση της απορροφούμενης δόσης τόσο στον όγκο όσο και στο υγιές ηπατικό παρέγχυμα. Μετά τη θεραπεία, πραγματοποιείται έλεγχος κατανομής της ακτινοβολίας (μέσω Bremsstrahlung SPECT/CT ή PET/CT), ενώ ακολουθεί στενή απεικονιστική και κλινική παρακολούθηση για την αξιολόγηση της ανταπόκρισης, την εκτίμηση τυχόν τοξικοτήτων και τον σχεδιασμό επόμενων βημάτων στην ογκολογική στρατηγική του ασθενούς. Πρόκειται για μια ιδιαίτερα αποτελεσματική θεραπευτική επιλογή σε πρωτοπαθείς ηπατικούς όγκους και σε ηπατικές μεταστάσεις, ειδικά όταν οι συμβατικές θεραπείες έχουν περιορισμένη αποτελεσματικότητα ή δεν είναι πλέον εφικτές. 

Για τη στοχευμένη αντιμετώπιση νευροενδοκρινών όγκων του γαστρεντερικού και παγκρεατικού συστήματος (PRRT – Peptide Receptor Radionuclide Therapy).
Για ασθενείς με ορμονοάντοχο μεταστατικό καρκίνο του προστάτη μέσω στοχευμένης σύνδεσης σε υποδοχείς PSMA (Prostate-Specific Membrane Antigen).
Η θεραπεία με Lu-177 DOTATATE (PRRT – Peptide Receptor Radionuclide Therapy) αποτελεί μια από τις πλέον εξελιγμένες μορφές στοχευμένης ραδιονουκλιδικής θεραπείας για νευροενδοκρινείς όγκους του γαστρεντερικού και του παγκρέατος, αξιοποιώντας την υπερέκφραση των υποδοχέων σωματοστατίνης στους νεοπλασματικούς ιστούς. Η διαδικασία περιλαμβάνει τον ακριβή προσδιορισμό της έκτασης της νόσου μέσω Ga68 DOTATATE PET/CT, την επιβεβαίωση υψηλής έκφρασης υποδοχέων SSTR και στη συνέχεια τη χορήγηση του Λουτέσιο-177 DOTATATE, το οποίο δεσμεύεται εκλεκτικά στους ανωτέρω υποδοχείς. Η ενέργεια του β-εκπομπού Λουτέσιου επιτρέπει στοχευμένη κυτταροτοξική δράση μέσα στον όγκο, με ελάχιστη διασπορά σε υγιείς ιστούς. Η σύγχρονη πρακτική ενσωματώνει ειδικά λογισμικά δοσιμετρίας, που υπολογίζουν την απορροφούμενη δόση σε κρίσιμα όργανα (ήπαρ, νεφροί, μυελός) και την πραγματική δόση στον όγκο, επιτρέποντας εξατομικευμένο σχεδιασμό και βελτιστοποιημένη θεραπευτική στρατηγική. Μετά από κάθε κύκλο θεραπείας πραγματοποιείται απεικονιστικός έλεγχος, αξιολόγηση τοξικοτήτων και συνολική εκτίμηση ανταπόκρισης, καθοδηγώντας τις επόμενες φάσεις της θεραπείας. Το Lu-177 DOTATATE έχει αποδειχθεί εξαιρετικά αποτελεσματικό στη σταθεροποίηση και συχνά στη συρρίκνωση της νόσου, παρατείνοντας την επιβίωση και βελτιώνοντας σημαντικά την ποιότητα ζωής των ασθενών.


Το Lu-177 PSMA αποτελεί μια στοχευμένη ραδιονουκλιδική θεραπεία για ασθενείς με ορμονοάντοχο μεταστατικό καρκίνο του προστάτη (mCRPC), αξιοποιώντας τη υπερέκφραση του PSMA (Prostate-Specific Membrane Antigen) στα καρκινικά κύτταρα. Προηγείται PSMA PET/CT για ακριβή χαρτογράφηση της νόσου και επιβεβαίωση επαρκούς πρόσληψης του ραδιοφάρμακου. Το Lu-177 PSMA συνδέεται στους PSMA-υποδοχείς, επιτρέποντας στοχευμένη ακτινική δράση υψηλής κυτταροτοξικότητας σε μεταστατικές εστίες οστών και μαλακών μορίων. Η χρήση εξειδικευμένων δοσιμετρικών εργαλείων επιτρέπει την ποσοτική αποτίμηση της δόσης σε κρίσιμα όργανα (π.χ. σιελογόνοι αδένες, νεφροί, μυελός) και στον όγκο, συμβάλλοντας σε εξατομικευμένη θεραπευτική προσέγγιση. Μετά από κάθε κύκλο πραγματοποιείται PSMA PET/CT ή FDG PET/CT (όπου ενδείκνυται), καθώς και στενός αιματολογικός έλεγχος για αξιολόγηση της ανταπόκρισης και των πιθανών τοξικοτήτων. Η θεραπεία έχει αποδειχθεί ιδιαίτερα αποτελεσματική στη μείωση του καρκινικού φορτίου, στη βελτίωση του πόνου, στη μείωση των επιπέδων PSA και στη σημαντική παράταση του προσδόκιμου επιβίωσης σε ασθενείς με εκτεταμένη και ανθεκτική νόσο.

Ακριβής θεραπεία, μετρήσιμα αποτελέσματα.
Συνδυάζουμε στοχευμένα ραδιοφάρμακα που απεικονίζουν και θεραπεύουν τον ίδιο μοριακό στόχο. Στο ΥΓΕΙΑ το πρόγραμμα αφορά:
Ο στόχος είναι σαφής: να δώσουμε τη σωστή δόση, στο σωστό σημείο, τη σωστή στιγμή.
Η αξία της μεταθεραπευτικής δοσιμετρίας
Με τη SPECT‑CT ποσοτικοποίηση υπολογίζουμε απορροφούμενες δόσεις σε όγκους και όργανα‑στόχους (νεφροί, σιελογόνοι, ήπαρ, μυελός κ.ά.). Αυτό:
Σημείωση: Σύμφωνα με πρόσφατες κλινικές εργασίες/σειρές ασθενών – όπως οι LUMEN‑2 (για ΝΕΤ) και νεότερες μελέτες σε PSMA‑στόχο – η ποσοτική δοσιμετρία συσχετίζεται με την έκβαση και βελτιώνει τον θεραπευτικό σχεδιασμό.
Με βάση τα σύγχρονα Guidelines όλων των διεθνών ογκολογικών εταιρειών η μεταθεραπευτική απεικόνιση είναι προαπαιτούμενο για την έναρξη-συνέχιση της θεραπείας και το βέλτιστο αποτέλεσμα αυτής.
ΠΟΣΟΤΙΚΗ ΕΚΤΙΜΗΣΗ – ΜΕΤΡΗΣΗ ΟΓΚΟΥ ΝΟΣΟΥ
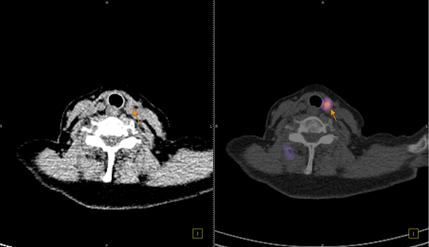
PSMA‑θετικός καρκίνος προστάτη
Νευροενδοκρινικοί όγκοι (SSTR)
Η πορεία του ασθενούς, βήμα‑βήμα
Ασφάλεια & άνεση
Στο Υγεια είναι η δυνατή η μεταθεραπευτική απεικόνιση και η συμβουλευτική γνωμάτευση- δοσιμετρία και σε ασθενείς οι οποίοι πραγματοποιούν τις θεραπευτικές τους συνεδρίες σε άλλα νοσοκομεία.
Εάν επιθυμείτε να έρθετε σε επαφή με τους ιατρούς του ΥΓΕΙΑ για συμβουλευτική γνωμάτευση παρακαλώ επικοινωνήστε στα εξής τηλ : 210 686 7471, 6977910302
3ος Όροφος Τηλέφωνο 210 686 7471 Fax 210 686 7976 E-mail nuclearmedicine@hygeia.gr
Ευθυμιάδου Ρωξάνη
Πιπίκος Θεόδωρος
Βογιατζής Μερκούριος
Νταλιάνης Κωνσταντίνος
Δόικα Ευσταθία | Cookie | Duration | Description |
|---|---|---|
| viewed_cookie_policy | 11 months | Aπαραίτητα για την ορθή λειτουργία ενός ιστότοπου και για την περιήγηση σε αυτόν από τον χρήστη. Χωρίς αυτά, οι χρήστες ενδέχεται να μην είναι σε θέση να προβάλλουν σωστά τις σελίδες ή να χρησιμοποιήσουν ορισμένες υπηρεσίες. |























