ΕΤΑΙΡΕΙΕΣ ΟΜΙΛΟΥ HHG

HHG
HYGEIA Hospital
METROPOLITAN HOSPITAL
ΜΗΤΕΡΑ
METROPOLITAN GENERAL
ΛΗΤΩ Μαιευτικό, Γυναικολογικό & Χειρουργικό Κέντρο
Creta InterClinic – Ιδιωτική Κλινική | Διαγνωστικό Κέντρο
Μητέρα Κρήτης
Apollonion
aretaeio
IVF
Healthspot
Homecare
PLATON DIAGNOSIS
Creta InterClinic Ρέθυμνο
AlfaLab | Kέντρο Μοριακής Βιολογίας & Κυτταρογενετικής
Prognosis
Δημόκριτος
CITYHOSPITAL
HEAL
Business Care
Y-Logimed Α.Ε.
GMP

Νευροχειρουργική

Χειρουργική Όγκων Υπόφυσης. 20 χρόνια ελληνικής εξειδίκευσης με διεθνές αποτύπωμα

Γράφει ο
Παναγιώτης Νομικός
Νευροχειρουργός
Διευθυντής Α’ Νευροχειρουργικής Κλινικής ΥΓΕΙΑ

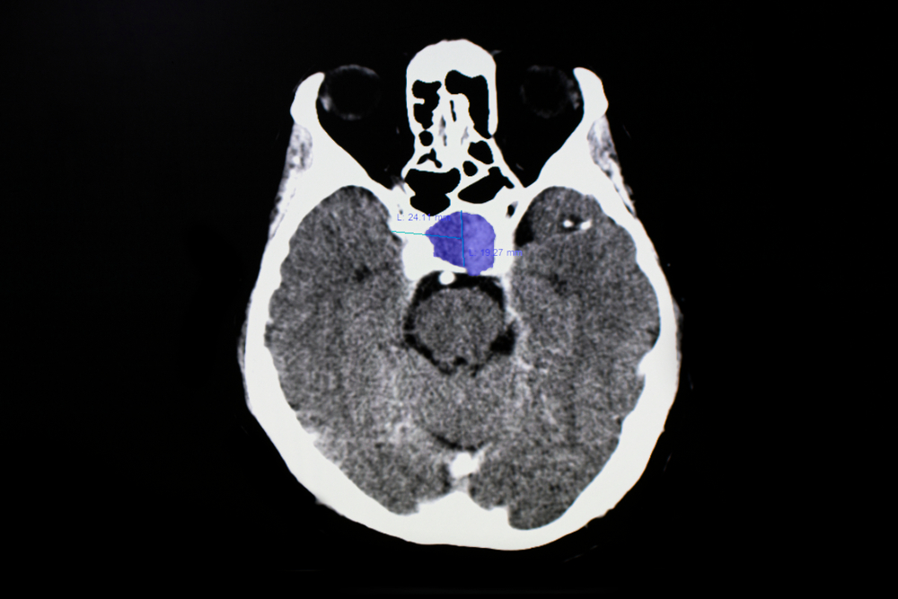
Η υπόφυση είναι ένας μικρός αλλά καθοριστικός αδένας στη βάση του εγκεφάλου, ο οποίος ρυθμίζει τις περισσότερες ορμονικές λειτουργίες του οργανισμού. Οι όγκοι της – συνήθως καλοήθη αδενώματα – μπορούν να προκαλέσουν από ανεξήγητη κόπωση και ορμονικές διαταραχές μέχρι προβλήματα όρασης και σημαντική επιδείνωση της ποιότητας ζωής. Παρότι δεν είναι κακοήθεις, απαιτούν εξειδικευμένη διαχείριση, καθώς η θέση τους είναι ευαίσθητη και η λειτουργία τους ζωτικής σημασίας.

Η εξέλιξη της νευροχειρουργικής έχει επιτρέψει την αποτελεσματική και ασφαλή χειρουργική αντιμετώπιση των αδενωμάτων υπόφυσης. Στη Α΄ Νευροχειρουργική Κλινική του ΥΓΕΙΑ έχουμε αναπτύξει ένα Κέντρο Χειρουργικής Όγκων Υπόφυσης, το οποίο συγκαταλέγεται στα πιο έμπειρα και σταθερά κέντρα αναφοράς στη Ευρώπη. Από το 2004 περισσότεροι από 1.000 ασθενείς έχουν χειρουργηθεί στο πλαίσιο αυτής της 20ετούς προσπάθειας, με αποτελέσματα αντίστοιχα των καλύτερων διεθνών κέντρων αναφοράς και εξαιρετικά χαμηλά ποσοστά επιπλοκών, τα οποία έχουν παρουσιαστεί πολλαπλώς σε εθνικά και διεθνή συνέδρια.

Η σύγχρονη ελάχιστα επεμβατική προσέγγιση

Η συντριπτική πλειονότητα των επεμβάσεων πραγματοποιείται με τη διασφηνοειδική προσπέλαση, μια ελάχιστα επεμβατική μέθοδο που επιτρέπει στον νευροχειρουργό να προσεγγίσει την υπόφυση μέσω της ρινικής οδού, χωρίς εξωτερικές τομές και χωρίς να χρειάζεται κρανιοτομία.

Στο κέντρο μας, η τεχνική αυτή πραγματοποιείται με τη χρήση εξειδικευμένου εξοπλισμού τελευταίας γενιάς:

  • Χειρουργικό μικροσκόπιο υψηλής ευκρίνειας, για μέγιστη οπτική ακρίβεια και τρισδιάστατη απεικόνιση του χειρουργικού πεδίου
  • Ενδοσκόπιο, το οποίο προσφέρει πανοραμική και γωνιακή θέα της περιοχής, αυξάνοντας την ασφάλεια και τη δυνατότητα ριζικής αφαίρεσης
  • Σύστημα νευροπλοήγησης, που λειτουργεί σαν «GPS» του εγκεφάλου και επιτρέπει ακριβή πλοήγηση στη δύσκολη ανατομία της βάσης του κρανίου επιπροβάλλοντας ταυτόχρονα τις πληροφορίες στο χειρουργικό πεδίο παρέχοντας τη δυνατότητα στο χειρουργό να εκτελεί το χειρουργείο με τη βοήθεια εικονικής πραγματικότητας. Η τεχνική εφαρμόζεται στο κέντρο μας και για 1η φορά στην Ελλάδα από το 2006.

Η συνδυασμένη χρήση αυτών των εργαλείων επιτρέπει υψηλού επιπέδου ακρίβεια, μειώνοντας σημαντικά τον χειρουργικό χρόνο και τις πιθανότητες επιπλοκών.

Γρήγορη, ασφαλής και στοχευμένη επέμβαση

Ένα από τα στοιχεία που εντυπωσιάζουν είναι η διαρκώς μικρότερη διάρκεια του χειρουργείου και της νοσηλείας. Στο κέντρο μας, η μέση διάρκεια μιας επέμβασης αφαίρεσης όγκου υπόφυσης πλέον σπάνια ξεπερνά τη μία ώρα.

Η ταχεία και ασφαλής εκτέλεση της επέμβασης αποτελεί προϊόν εμπειρίας, εξειδίκευσης και άριστης συνεργασίας της ομάδας.

Εξίσου σημαντικό είναι ότι οι ασθενείς κινητοποιούνται άμεσα, συνήθως λίγες ώρες μετά την επέμβαση, και επιστρέφουν γρήγορα στην καθημερινότητά τους. Ο συνολικός χρόνος νοσηλείας δεν υπερβαίνει τις δύο ημέρες, γεγονός που υπογραμμίζει τον ελάχιστα επεμβατικό χαρακτήρα της τεχνικής.

Η αξία της εμπειρίας και της διεπιστημονικής συνεργασίας

Η χειρουργική της υπόφυσης απαιτεί όχι μόνο τεχνική δεξιότητα, αλλά και στενή συνεργασία πολλών ειδικοτήτων:

  • Εξειδικευμένοι νευροχειρουργοί με εμπειρία στη διασφηνοειδική προσπέλαση
  • Ενδοκρινολόγοι με γνώση στη διάγνωση και παρακολούθηση ορμονικών διαταραχών
  • Ακτινολόγοι για ακριβή προεγχειρητικό και μετεγχειρητικό έλεγχο
  • Αναισθησιολόγοι με εξειδίκευση σε λεπτές ενδοκρανιακές επεμβάσεις
  • Εξειδικευμένο νοσηλευτικό και τεχνικό προσωπικό

Η σταθερότητα της ομάδας και η εμπειρία όλων των μελών δημιουργούν ένα ασφαλές, οργανωμένο και υψηλής απόδοσης περιβάλλον.

Πότε χρειάζεται χειρουργική αντιμετώπιση;

Παρότι τα αδενώματα υπόφυσης είναι καλοήθη, η χειρουργική επέμβαση αποτελεί την καλύτερη επιλογή όταν:

  • Ο όγκος πιέζει το οπτικό χίασμα και προκαλεί απώλεια οπτικού πεδίου
  • Η φαρμακευτική θεραπεία δεν γίνεται ανεκτή ή δεν έχει αποτέλεσμα
  • Ο όγκος εκκρίνει ορμόνες που διαταράσσουν σοβαρά την υγεία (όπως στην ακρομεγαλία ή στο σύνδρομο Cushing ή σε επιλεγμένους ασθενείς με προλακτίωμα)
  • Υπάρχει συνεχής αύξηση του μεγέθους του όγκου κατά την παρακολούθηση

Η σωστή αξιολόγηση από εξειδικευμένη ομάδα είναι καθοριστική για την εξατομίκευση της θεραπείας. Η επιλογή της κατάλληλης θεραπείας πρέπει να είναι πάντοτε αποτέλεσμα διεπιστημονικής προσέγγισης των ασθενών.

Μετά το χειρουργείο: ταχεία ανάρρωση και στενή παρακολούθηση

Η ελάχιστα επεμβατική φύση της επέμβασης επιτρέπει γρήγορη επάνοδο. Οι περισσότεροι ασθενείς επιστρέφουν σπίτι τους τη δεύτερη μετεγχειρητική ημέρα, ενώ η πλήρης λειτουργική ανάκαμψη είναι συνήθως ταχεία. Αθλητική δραστηριότητα και έντονη σωματική κόπωση επιτρέπεται συνήθως μετά από 1 μήνα.

Η μετεγχειρητική παρακολούθηση είναι απαραίτητη για να διασφαλιστεί η σωστή λειτουργία της υπόφυσης και να αξιολογηθεί η πλήρης αφαίρεση του όγκου. Στο ΔΘΚΑ ΥΓΕΙΑ εφαρμόζουμε συστηματικά διεθνή πρωτόκολλα παρακολούθησης και μακροχρόνιας φροντίδας. Σε περιπτώσεις υπολειμματικών όγκων, η ριζική αφαίρεση των οποίων κυρίως για ανατομικούς λόγους δεν είναι εφικτή, παρέχεται η δυνατότητα αντιμετώπισης μέσω ακτινοχειρουργικής θεραπείας γ-knife. Πρόκειται περί του μοναδικού στην Ελλάδα εγκαταστημένου συστήματος γ-knife, με το οποίο υπολειμματικά αδενώματα υπόφυσης ή η επανεμφάνιση τους (υποτροπή) αντιμετωπίζονται αναίμακτα σε 1 μόνο συνεδρία χωρίς ανάγκη νοσηλείας.

Είκοσι χρόνια προσφοράς στην Ελλάδα

Με βάση την 20ετή μας εμπειρία και περισσότερα από 1.000 περιστατικά, το Κέντρο Χειρουργικής Όγκων Υπόφυσης στο ΥΓΕΙΑ αποτελεί σήμερα έναν αξιόπιστο και σύγχρονο προορισμό για ασθενείς από όλη την Ελλάδα αλλά και το εξωτερικό.

Στόχος μας παραμένει η συνεχής εξέλιξη, η εφαρμογή των πιο σύγχρονων τεχνικών και η προσφορά φροντίδας υψηλού επιπέδου με σεβασμό, ακρίβεια και ανθρωποκεντρική προσέγγιση.