Επιδιόρθωση τριγλώχινας βαλβίδας για ανεπάρκεια που προκαλείται από βηματοδότη ή απινιδωτή
Γράφει ο
Γρηγόρης Παττακός
Καρδιοχειρουργός,
Διευθυντής Β’ Καρδιοχειρουργικής Κλινικής ΥΓΕΙΑ & Αναπλ. Διευθυντής Τμήματος Διαδερμικών Βαλβίδων ΥΓΕΙΑ
Πως μπορεί ο βηματοδότης ή ο απινιδωτής να προκαλέσουν ανεπάρκεια τριγλώχινας βαλβίδας;
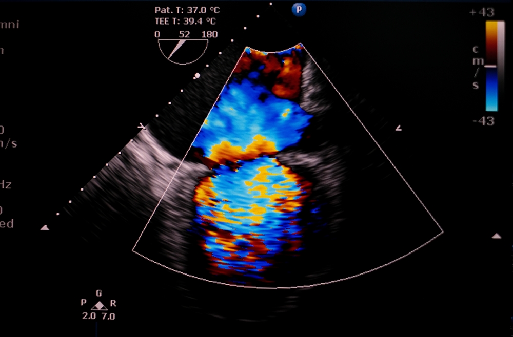
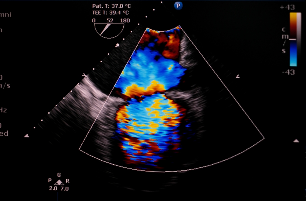
Η εμφύτευση βηματοδότη ή απινιδωτή είναι ζωτικής σημασίας σε ασθενείς με αρρυθμίες ή κίνδυνο για αιφνίδιο καρδιακό επεισόδιο. Όμως, σε ένα 5-10% των ασθενών αυτών τα καλώδια των συσκευών, που περνούν μέσα από την τριγλώχινα βαλβίδα, θα προκαλέσουν σοβαρή ανεπάρκεια της βαλβίδας. Οι μηχανισμοί με τους οποίους προκαλείται η ανεπάρκεια της τριγλώχινας βαλβίδας είναι πολλαπλοί. Τα καλώδια μπορεί να πιέζουν μια γλωχίνα της βαλβίδας, να έχουν τρυπήσει μια γλωχίνα, ή και να ενοχλούν την λειτουργία του υποβαλβιδικού μηχανισμού που στηρίζει την βαλβίδα.
Πότε πρέπει να γίνει επέμβαση για την ανεπάρκεια τριγλώχινας;
Η ένδειξη για την επιδιόρθωση της τριγλώχινας βαλβίδας σε τέτοιες περιπτώσεις είναι σε ασθενείς που έχουν σοβαρή συμπτωματική ανεπάρκεια της βαλβίδας. Η ανεπάρκεια της βαλβίδας φέρνει μια υπερφόρτωση αίματος εντός των δεξιών τμημάτων της καρδιάς. Αυτή η υπερφόρτωση αίματος φέρνει με το μέρος της εύκολη κόπωση, πρήξιμο στο συκώτι και στα κάτω άκρα και αύξηση βάρους. Η αρχική θεραπεία είναι με διουρητικά αλλά αυτή είναι μια προσωρινή λύση μέχρι να μπορεί να γίνει η επιδιόρθωση της βαλβίδας και να αποκατασταθεί η φυσιολογική της λειτουργία. Αν δεν γίνει άμεση επιδιόρθωση της βαλβίδας, σταδιακά θα επέλθει η δεξιά καρδιακή ανεπάρκεια που φέρνει κίνδυνο για την ζωή του ασθενούς και που καθιστά και την επέμβαση πιο επικίνδυνη. Για αυτό το λόγο δίνεται μεγάλη σημασία στην έγκαιρη παρέμβαση στις περιπτώσεις ανεπάρκειας τριγλώχινας βαλβίδας προτού μειωθεί η λειτουργία της καρδιάς.
Πώς πραγματοποιείται η επέμβαση για την ανεπάρκεια της τριγλώχινας;
Στην περίπτωση που κριθεί ότι ο ασθενής χρειάζεται επέμβαση προτιμάται η επιδιόρθωση της βαλβίδας σε σχέση με την αντικατάσταση. Η επιδιόρθωση σε πολλές περιπτώσεις μπορεί να πραγματοποιηθεί ελάχιστα επεμβατικά με θωρακοσκοπική μέθοδο και με πάλλουσα καρδιά. Ο καρδιοχειρουργός θα αναλύσει την αιτία της δυσλειτουργίας και θα μετακινήσει ή θα αφαιρέσει το καλώδιο που προκαλεί την ανεπάρκεια. Στην συνέχεια θα εφαρμόσει τεχνική για την επιδιόρθωση της γλωχίνας, αν χρειαστεί, και συνήθως θα τοποθετηθεί ένας δακτύλιος στην περίμετρο της βαλβίδας. Σε λίγες περιπτώσεις με εκτεταμένο τραυματισμό της βαλβίδας μπορεί να χρειαστεί να γίνει αντικατάσταση της βαλβίδας. Σε ασθενείς με πολλαπλές ιατρικές παθήσεις που είναι αυξημένου χειρουργικού κινδύνου μπορεί να εφαρμοστεί η διαδερμική επιδιόρθωση ή αντικατάσταση της τριγλώχινας βαλβίδας. Πρέπει να τονιστεί ότι η χειρουργική επιδιόρθωση παραμένει ή πρώτη επιλογή για τους περισσότερους ασθενείς λόγω των ανώτερων μακροπρόθεσμων αποτελεσμάτων.
Ποια είναι τα οφέλη και τα μακροπρόθεσμα αποτελέσματα αυτών των επεμβάσεων;
Οι ασθενείς που θα υποβληθούν σε επιδιόρθωση τριγλώχινας θα νιώσουν μεγάλη αύξηση στην ποιότητα της ζωής τους με μείωση της χρόνιας κόπωσης, αυξημένη ενέργεια, και μειωμένο πρήξιμο του ήπατος και των κάτω άκρων. Επίσης οι περισσότεροι θα μπορέσουν να μειώσουν σταδιακά τις δόσεις των διουρητικών που θα χρειαστεί να λαμβάνουν. Η λειτουργία του βηματοδότη ή απινιδωτή τους θα συνεχιστεί χωρίς πρόβλημα προσφέροντας τους ασφάλεια για την υγεία της καρδιάς τους.




































