Ο ρόλος της μαγνητικής τομογραφίας στη χαρτογράφηση των περιεδρικών συριγγίων
Γράφει ο
Αθανάσιος Τσόχατζης
Ακτινολόγος, Επιμελητής Τμήματος Αξονικού – Μαγνητικού Τομογράφου ΥΓΕΙΑ
Το περιεδρικό συρίγγιο είναι μια φλεγμονώδης διεργασία, η οποία χαρακτηρίζεται από μια σύνδεση μεταξύ του πρωκτικού καναλιού και του δέρματος του περινέου. Είναι μια ασυνήθιστη διαδικασία με επιπολασμό 0,01%, που ωστόσο προκαλεί σημαντική νοσηρότητα και συχνά απαιτεί επαναλαμβανόμενες χειρουργικές θεραπείες, λόγω της μεγάλης τάσης υποτροπής της. Προσβάλλει κυρίως νεαρούς άνδρες, με αναλογία άνδρες προς γυναίκες 2:1. Τα πιο συχνά συμπτώματα που παρουσιάζονται είναι το έκκριμα (65% των περιπτώσεων) και το τοπικό άλγος λόγω της φλεγμονής.
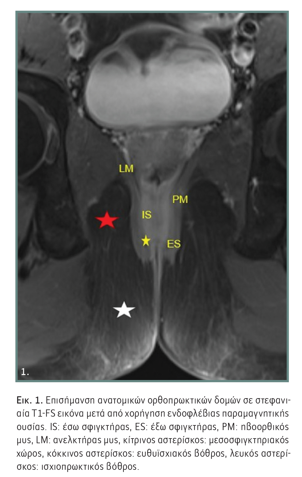
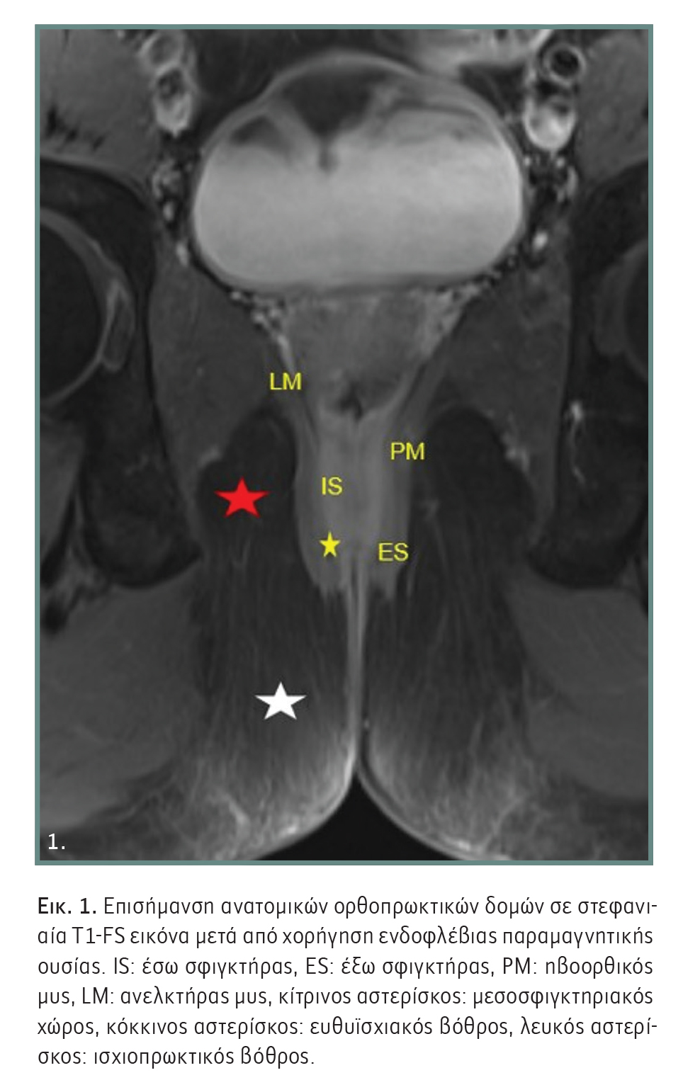
Η σωστή γνώση της ανατομίας του συμπλέγματος των σφιγκτήρων του πρωκτού και των επιχώριων δομών είναι ζωτικής σημασίας για την ερμηνεία των απεικονιστικών ευρημάτων. Το πρωκτικό κανάλι έχει μήκος 2-5 εκατοστά και περιβάλλεται από δύο σφιγκτηριακούς μύες, τον έσω και τον έξω σφιγκτήρα. Ο έσω σφιγκτήρας είναι η κατώτερη προέκταση του έσω κυκλικού λείου μυός του ορθού και είναι κυρίως υπεύθυνος του ακούσιου πρωκτικού ελέγχου. Ο έξω σφιγκτήρας αποτελείται από γραμμωτό σκελετικό μυ, ο οποίος εφάπτεται προς τα άνω τόσο με τον ανελκτήρα όσο και με τον ηβοορθικό μυ και είναι κυρίως υπεύθυνος για τον εκούσιο έλεγχο.
Σε απόσταση περίπου 2 cm στον πρωκτικό σωλήνα βρίσκεται η οδοντωτή γραμμή, στις αδενικές κρύπτες της οποίας εδράζονται οι πρωκτικοί αδένες. Οι αδένες εντοπίζονται κυρίως εντός του μεσοσφιγκτηριακού χώρου ή του έσω σφιγκτήρα (Εικόνα 1). Η λειτουργία των αδένων αυτών είναι η παραγωγή βλέννας, η οποία επαλείφει τα κόπρανα και διευκολύνει την αφόδευση. Η φλεγμονή και αποστηματοποίηση των αδένων αυτών, λόγω διείσδυσης μικροβίων ή απόφραξης του εκφορητικού τους πόρου, αποτελεί την κυριότερη αιτία ανάπτυξης του αποστήματος. Το περιεδρικό απόστημα θεωρείται οξεία εκδήλωση και το περιεδρικό συρίγγιο μια χρόνια κατάσταση της ίδιας νόσου.
Ο ρόλος της μαγνητικής τομογραφίας
Η μαγνητική τομογραφία (ΜΤ) αποτελεί αναγκαίο προεγχειρητικό εργαλείο, ιδίως σε σύνθετα συρίγγια. Αν και η αξονική τομογραφία πυέλου είναι χρήσιμη για την αξιολόγηση του υποκείμενου αποστήματος, είναι λιγότερο ευαίσθητη από τη μαγνητική τομογραφία στον εντοπισμό συριγγίων. Σε μια μελέτη των Garg et al. σε 229 ασθενείς, η χρήση της μαγνητικής τομογραφίας άλλαξε την προεγχειρητική διάγνωση στο ήμισυ των απλών και σε πάνω από το ένα τρίτο των σύνθετων συριγγίων. Είναι, επίσης, αποτελεσματική στον εντοπισμό μετεγχειρητικών επιπλοκών, όπως είναι το απόστημα ή το υποτροπιάζον συρίγγιο. Η σημαντικότερη ένδειξη ΜΤ στο περιπρωκτικό συρίγγιο είναι η προεγχειρητική ταξινόμηση. Η ΜΤ επιτρέπει την άμεση απεικόνιση των συριγγίων και των αποστημάτων, σε συνδυασμό με την υψηλή ανάλυση των μαλακών μορίων, ενώ συμβάλλει στην ακριβή ταξινόμηση των συριγγωδών πόρων, αλλά και στον εντοπισμό ολόκληρης της έκτασης της νόσου, που πιθανότατα να διέφευγε.
Το τυπικό πρωτόκολλο ΜΤ που χρησιμοποιείται για την αξιολόγηση των περιεδρικών συριγγίων, περιλαμβάνει εγκάρσιες εικόνες T1 και T2-weighted FSE (fast spin echo), εγκάρσιες και στεφανιαίες fat-suppressed T1 και T2-weighted FSE, προσανατολισμένες κάθετα ή παράλληλα στον επιμήκη άξονα του πρωκτικού σωλήνα με μεγάλο και μικρό πεδίο απεικόνισης (field of view – FOV).
Οι T1 εικόνες παρέχουν εξαιρετική ανατομική απεικόνιση του σφιγκτηριακού συμπλέγματος του ανελκτήρα μυός και του ισχιοορθικού βόθρου. Οι συριγγώδεις πόροι, η φλεγμονή και τα αποστήματα εμφανίζονται ως περιοχές χαμηλής έως ενδιάμεσης έντασης σήματος και ενδέχεται να μη διακρίνονται από τις φυσιολογικές δομές.
Στις Τ2 εικόνες οι συριγγώδεις πόροι έχουν υψηλή ένταση σήματος και μπορούν να διακριθούν ευκρινώς από τους σφιγκτήρες και τους μυς που έχουν χαμηλή ένταση σήματος. Τα αποστήματα έχουν, επίσης, υψηλή ένταση σήματος, λόγω της παρουσίας υγρικού στοιχείου στην κοιλότητά τους. Οι ακολουθίες Τ1, μετά τη χορήγηση ενδοφλέβιας παραμαγνητικής σκιαγραφικής ουσίας και καταστολή του σήματος του λίπους, μπορούν να βοηθήσουν αποτελεσματικά στη διαφοροποίηση της φλεγμονής από το απόστημα. Παρότι η χρήση ενδοφλέβιου σκιαγραφικού μέσου παράγει εικόνες που είναι οπτικά ελκυστικές, μπορεί να μην είναι απαραίτητη για όλες τις περιπτώσεις και η πρόσθετη αξία της δεν έχει ακόμη καθοριστεί.
Η ταξινόμηση
Η αρχική ταξινόμηση των περιεδρικών συριγγίων βασίστηκε στη χειρουργική ανατομία που περιεγράφηκε από τους Parks et al. Περιέγραψαν την πορεία και τη σχέση των περιεδρικών συριγγίων με τον έξω και τον έσω σφιγκτήρα στο στεφανιαίο επίπεδο. Καθορίστηκαν τέσσερις κατηγορίες συριγγίων: μεσοσφιγκτηριακά, διασφιγκτηριακά, υπερσφιγκτηριακά και εξωσφιγκτηριακά.
Τα ευρήματα της ΜΤ δεν περιλαμβάνονται στην ταξινόμηση Parks, οπότε προτάθηκε μια ταξινόμηση με βάση την εξέταση αυτή.
Η ταξινόμηση του Πανεπιστημιακού Νοσοκομείου St James του Ηνωμένου Βασιλείου, περιλαμβάνει πέντε βαθμίδες και συνδυάζει τη χειρουργική ταξινόμηση κατά Parks με την ανατομία που παρατηρείται στην απεικόνιση με ΜΤ τόσο σε εγκάρσιο όσο και σε στεφανιαίο επίπεδο. Η ταξινόμηση λαμβάνει υπόψη την κύρια διαδρομή του συριγγίου αλλά και τις δευτερογενείς διακλαδώσεις και τα ενδεχόμενα περιεδρικά αποστήματα.
- 1ου βαθμού: Απλό γραμμικό μεσοσφιγκτηριακό συρίγγιο, το οποίο εκτείνεται από τον πρωκτικό σωλήνα μέσω του μεσοσφιγκτηριακού χώρου έως το δέρμα του περινέου. Δεν υπάρχει διακλάδωση του πόρου εντός του σφιγκτηριακού συμπλέγματος. Ο συριγγώδης πόρος περιορίζεται πάντοτε στον μεσοσφιγκτηριακό χώρο (Εικόνα 2).
- 2ου βαθμού: Μεσοσφιγκτηριακό συρίγγιο με απόστημα ή δευτερογενή πόρο. Ο πρωτογενής πόρος και μια δευτερογενής διακλάδωσή του ή ένα απόστημα εμφανίζονται στον μεσοσφιγκτηριακό χώρο, ενώ δεν διασχίζουν ποτέ τον έξω σφιγκτήρα. Οι δευτερογενείς πόροι μπορεί να είναι πεταλοειδούς μορφολογίας και ενδέχεται να διαπερνούν τη μέση γραμμή ή να διακλαδίζονται στον αντίπλευρο μεσοσφιγκτηριακό χώρο (Εικόνα 3).
- 3ου βαθμού: Διασφιγκτηριακό συρίγγιο. Αυτά τα συρίγγια διελαύνουν και τα δύο στρώματα του σφιγκτηριακού συμπλέγματος και εκτείνονται στο δέρμα μέσω των ευθυϊσχιακών και ισχιοπρωκτικών βόθρων. Δεν περιπλέκονται από δευτερογενείς διακλαδώσεις ή αποστήματα (Εικόνα 4).
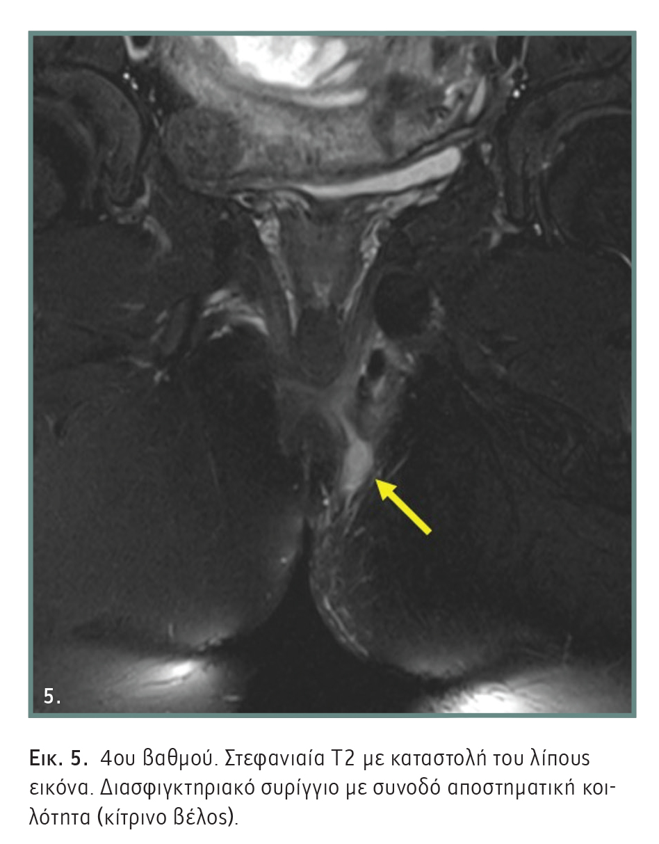
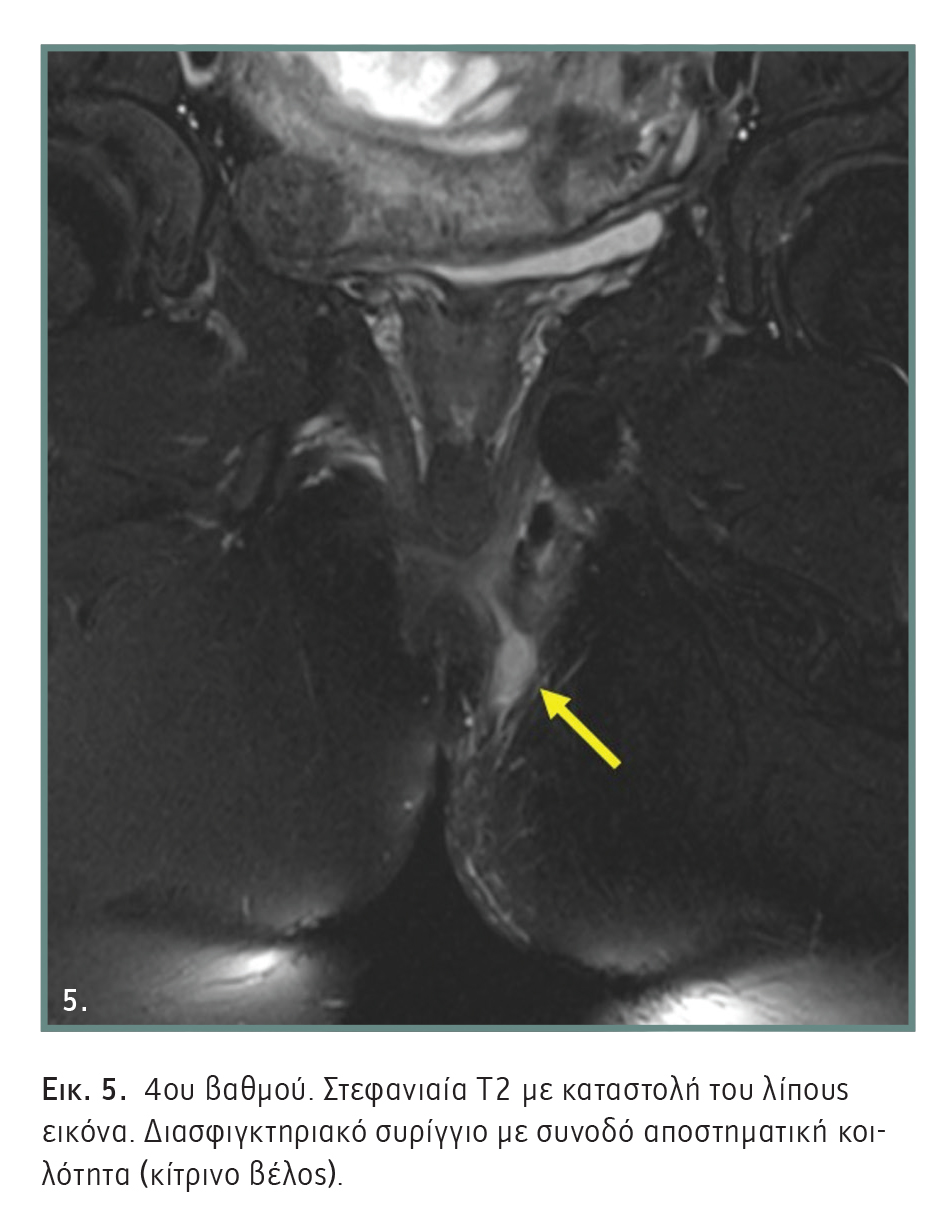
- 4ου βαθμού: Διασφιγκτηριακό συρίγγιο με απόστημα ή δευτερογενή πόρο μέσω του ευθυϊσχιακού και ισχιοπρωκτικού βόθρου. Τα συρίγγια αυτά είναι παρόμοια με εκείνα του 3ου βαθμού, αλλά επιπλέκονται από απόστημα ή δευτερογενή πόρο (Εικόνα 5).
- 5ου βαθμού: Υπερανελκτήριο και διανελκτήριο συρίγγιο. Περιεδρικό συρίγγιο, το οποίο εκτείνεται πάνω από το επίπεδο εισόδου του ανελκτήρα μυός. Το υπερανελκτήριο συρίγγιο είναι παρόμοιο με το υπερσφιγκτηριακό και το διανελκτήριο με το εξωσφιγκτηριακό στην ταξινόμηση κατά Parks (Εικόνα 6).
Τόσο οι ακτινολόγοι όσο και οι χειρουργοί χρησιμοποιούν τον σχηματισμό Çπρωκτικό ρολόιÈ (Εικόνα 7) για να περιγράψουν με ακρίβεια την εντόπιση του συριγγώδους πόρου σε σχέση με τον πρωκτικό σωλήνα και την κατεύθυνση/διαδρομή του συριγγίου.
Η μαγνητική τομογραφία παίζει καθοριστικό ρόλο στην προεγχειρητική αξιολόγηση του περιπρωκτικού συριγγίου, παρέχοντας ακριβή χαρτογράφηση του συριγγώδους πόρου, της επέκτασής του, της σχέσης του με τις πυελικές δομές και τον εντοπισμό δευτερογενών συριγγίων ή αποστημάτων. Παρέχει πολύτιμες πληροφορίες για την κατάλληλη χειρουργική θεραπεία, μειώνοντας τη συχνότητα υποτροπής και επιτρέποντας την αποφυγή επιπλοκών όπως η ακράτεια κοπράνων.
Bιβλιογραφία
Garros, A., et al. Magnetic resonance imaging and clinical assessments for perianal Crohn’s disease: gain and limits. Dig Liver Dis, 2014; 46: 1.072-1.076.
Takiyama, H., et al. Efficacy of magnetic resonance imaging in the diagnosis of perianal hidradenitis suppurativa, complicated by anal fistulae: A report of two cases and review of the literature. Int J Surg Case Rep, 2015; 15: 107-111.
Garg P, Singh P, Kaur B. Magnetic Resonance Imaging (MRI): Operative Findings Correlation in 229 Fistula-in-Ano Patients. World J Surg. 2017; 41: 1.618-1.624.
Villa C, Pompili G, Franceschelli G, et al. Role of magnetic resonance imaging in evaluation of the activity of perianal Crohn᾽s disease. European Journal of Radiology. 2012; 81: 616‑622.
Baskan O, Koplay M, Sivri M, Erol C. Our Experience with MR Imaging of Perianal Fistulas. Pol J Radiol. 2014; 79: 490-497. doi: 10.12659/PJR.892098. eCollection 2014.
O’Malley, et al. Rectal Imaging: Part 2, Perianal Fistula Evaluation on Pelvic MRI-What the Radiologist Needs to Know. AJR 2012; 199: [W43-W53].
Δεν θα πρέπει να αμελείτε την υγεία σας λόγω της πανδημίας του |
Νοέμβριος 2022












































