Υδροκέφαλος Φυσιολογικής Πίεσης: πως αντιμετωπίζεται;
Γράφει
ο Δημήτριος Κομπόγιωργας
Νευροχειρουργός
Επιστημονικός Συνεργάτης ΥΓΕΙΑ
Πολλοί ηλικιωμένοι έχουν αστάθεια, δυσκολία στη βάδιση, απώλεια μνήμης ή επεισόδια ακράτειας με αποτέλεσμα να περιορίζεται η ζωή τους.
Όλα αυτά τα συμπτώματα πολλοί νομίζουν ότι είναι λόγω της ηλικίας ή λόγω «άνοιας». Όμως η άνοια είναι σύμπτωμα που μπορεί συνήθως να οφείλεται σε παθήσεις, όπως η Νόσος Αλτσχάιμερ, αλλά μπορεί και να οφείλεται σε αιματώματα ή όγκους του εγκεφάλου, που όταν τα αφαιρέσουμε οι ασθενείς αυτοί θεραπεύονται και μπορούν να γυρίσουν στις καθημερινές τους δραστηριότητές.
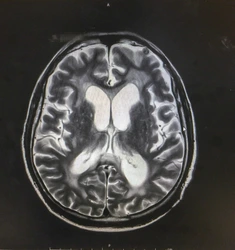
Είναι σημαντικό να τονισθεί ότι η αστάθεια, η δυσκολία στη βάδιση, τα προβλήματα μνήμης ή η ακράτεια μπορεί να οφείλονται σε μια συχνή αλλά όχι τόσο γνωστή πάθηση: τον Υδροκέφαλο Φυσιολογικής Πίεσης, στον οποίο υπάρχει συσσώρευση υγρού (εγκεφαλονωτιαίο υγρό) στις κοιλότητες (κοιλίες) του εγκεφάλου με αποτέλεσμα να μεγαλώνουν σε μέγεθος και να πιέζουν τον εγκέφαλο. Είναι χαρακτηριστικό ότι οι ασθενείς αυτοί αναφέρουν ότι δυσκολεύονται να περπατήσουν και νοιώθουν ότι κολλούν τα πόδια τους στο έδαφος, κάτι που ιατρικώς περιγράφεται ως «μαγνητικό βάδισμα».
Είναι μεγάλος ο αριθμός των ασθενών που πάσχει από Υδροκέφαλο Φυσιολογικής Πίεσης χωρίς να το γνωρίζουν, με αποτέλεσμα να μένουν αθεράπευτοι, να υποφέρουν και να επηρεάζεται σημαντικά η ποιότητα ζωής, τόσο των ιδίων των ασθενών, όσο και των οικογενειών τους.
Ο Υδροκέφαλος Φυσιολογικής Πίεσης μπορεί να παρουσιαστεί σε ασθενείς οποιαδήποτε ηλικίας, συχνότερα όμως συμβαίνει στους ηλικιωμένους. Αιτίες που μπορεί να τον προκαλέσουν είναι τραυματισμοί του εγκεφάλου, υπαραχνοειδής αιμορραγία, λοιμώξεις του εγκεφάλου κ.ά.
Για την σωστή θεραπεία των ασθενών απαιτείται ακριβής και σωστή διάγνωση. Επειδή τα συμπτώματα των ασθενών με Υδροκέφαλο Φυσιολογικής Πίεσης είναι παρόμοια με αυτών που πάσχουν από παθήσεις, όπως την νόσο του Αλτσχάιμερ και την νόσο του Πάρκινσον, πολλοί ασθενείς διαγιγνώσκονται εσφαλμένα ότι πάσχουν από τις παθήσεις αυτές ενώ στην πραγματικότητα έχουν Υδροκέφαλο Φυσιολογικής Πίεσης.
Σημαντικό ρόλο στην ακριβή διάγνωση ασθενών με Υδροκεφάλου Φυσιολογικής Πίεσης παίζει η μελέτη ροής του εγκεφαλονωτιαίου υγρού. Το Likvor CELDA System είναι ένα ειδικό μηχάνημα, Σουηδικής τεχνογνωσίας, που μελετά τη ροή του εγκεφαλονωτιαίου υγρού και βοηθά στην ακριβή διάγνωση των ασθενών με Υδροκέφαλο Φυσιολογικής Πίεσης. Επίσης, το μηχάνημα αυτό μπορεί να ελέγξει αν μια βαλβίδα εγκεφάλου λειτουργεί σωστά ή όχι, γεγονός που βοηθά στη διάγνωση ασθενών με βαλβίδα εγκεφάλου που χειροτερεύουν ή εμφανίζουν νέα συμπτώματα.
Η θεραπεία των ασθενών με Υδροκέφαλο Φυσιολογικής Πίεσης περιλαμβάνει την τοποθέτηση βαλβίδας εγκεφάλου (κοιλιοπεριτοναικής βαλβίδα εγκεφάλου), που παροχετεύει το εγκεφαλονωτιαίο υγρό από τον εγκέφαλο στην κοιλία. Η βαλβίδα εγκεφάλου ρυθμίζει την ροή του εγκεφολονωτιαίου υγρού που δεν μπορεί να διαχειριστεί ο εγκέφαλος με αποτέλεσμα την μείωση του μεγέθους των κοιλιών του εγκεφάλου και την θεραπεία των ασθενών. Είναι χαρακτηριστικό ότι μια ασθενής μας με Υδροκέφαλο Φυσιολογικής Πίεσης περιέγραψε την ημέρα του χειρουργείου της για την τοποθέτηση βαλβίδας εγκεφάλου ως «Τα νέα της γενέθλια», γιατί η ζωή της βελτιώθηκε τόσο πολύ μετά την επέμβαση που ένοιωσε ότι ξαναγεννήθηκε!
Αν όμως ο Υδροκέφαλος Φυσιολογικής Πίεσης αφεθεί χωρίς διάγνωση και θεραπεία τότε τα συμπτώματα των ασθενών μπορεί να χειροτερεύουν και να προκαλέσουν έως και απώλεια της ζωής τους.





































