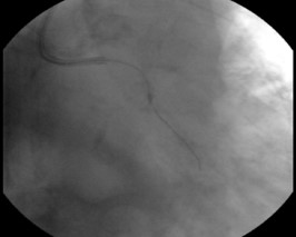
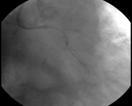
Η περιστροφική αθηρεκτομή είναι μία μέθοδος που βοηθά να ξεπεραστεί η έντονη ασβέστωση των αγγείων που πολλές φορές κάνει αδύνατη την απλή αγγειοπλαστική και τη διάνοιξη των μπαλονιών.
Σε αυτή την τεχνική μια ελαία με επένδυση από διαμάντι περιστρέφεται με πολλές στροφές και τροποποιεί την αθηρωματική πλάκα. Με αυτό τον τρόπο γίνεται εφικτή η διάνοιξη των μπαλονιών και η επιτυχής ολοκλήρωση της επέμβασης.
Στη Ζ’ Καρδιολογική Κλινική υπάρχει μεγάλη εμπειρία σε αυτές τις επεμβάσεις μια και ο Διευθυντής κ. Μιχάλης Κουτούζης είναι εκπαιδευτής (proctor) για τη συγκεκριμένη μέθοδο, τόσο στην Ελλάδα, όσο και στο εξωτερικό.
Η περιστροφική αθηρεκτομή μπορεί να βοηθήσει στην αντιμετώπιση ασβεστωμένων βλαβών, που δεν μπορούν να αντιμετωπιστούν με συμβατικούς τρόπους (μπαλόνι-στεντ)
| Cookie | Duration | Description |
|---|---|---|
| viewed_cookie_policy | 11 months | Aπαραίτητα για την ορθή λειτουργία ενός ιστότοπου και για την περιήγηση σε αυτόν από τον χρήστη. Χωρίς αυτά, οι χρήστες ενδέχεται να μην είναι σε θέση να προβάλλουν σωστά τις σελίδες ή να χρησιμοποιήσουν ορισμένες υπηρεσίες. |
























